972
То, что мы подразумеваем под словом «челюсти», является составным органом и сформировано из нижней челюсти, верхней и соединительного височно-челюстного сустава.
Одной из довольно частых проблем, с которыми обращаются к стоматологам, является боль в челюсти. Обычно она появляется в процессе жевания, то есть при движении челюсти, нажиме на нее и работе челюстного сустава. Это может быть, как левой стороны, так и с правой; реже – с обоих одновременно.
Однако, несмотря на кажущуюся простоту решения – обратиться в стоматологическую клинику, эта проблема далеко не всегда является исключительно стоматологической. В подавляющей массе случаев это даже не считается самостоятельным заболеванием
, а лишь проявлением, первичным симптомом болезней разной степени сложности.
Причины боли в челюсти при открывании рта и жевании, что делать
Ежедневно, сам того не замечая, человек совершает множество движений челюстью во время разговора и приема пищи. Иногда эти движения становятся ощутимыми и затруднительными. Если челюсть начинает болеть при открытии рта и когда жуешь, нельзя делать резких движений и нужно сразу же обратиться к врачу – к травматологу, хирургу или терапевту.
Болит челюсть при жевании и открытии рта: распространенные причины
Боль в области височно-челюстного сустава может возникать при различных обстоятельствах. Наиболее распространенные причины патологии перечислены в таблице:
Перелом – нарушение целостности верхней, нижней или обеих челюстей одновременно.
Вывих – повреждение сустава со смещением суставной поверхности костей.
Ушиб – повреждение мягких тканей без нарушения скелетных компонентов.
Флегмона, абсцесс – тяжелые гнойные воспаления, способные разрушить большой участок мягких и твердых тканей.
Фурункул – подкожное ограниченное нагноение.
Остеомиелит – воспаление костных тканей.
Адамантиома – разрастание челюстных тканей.
Остеома – медленно увеличивающаяся доброкачественная опухоль.
Остеоблатокластома – опухоль, которая может сопровождаться деформацией и частыми переломами костей.
Саркома – злокачественное разрастание костей или хрящей.
Артрит – поражение суставов с ограниченностью движения, часто развивающееся на фоне аутоиммунных болезней.
Артроз – дегенеративные изменения в суставах с разрушением хрящей.
Другие причины боли в челюсти
В иных случаях боли в челюсти слева или справа появляются не из-за патологических проблем в челюстных тканях, а из-за воспаления структур, находящихся рядом:
- Слева, справа или с обеих сторон челюсть может болеть при отите – воспалении уха. Чем активнее развивается воспалительный процесс, тем дальше распространяется боль. Сперва она отдает в ушные раковины, затем в скулы и челюсть. Нередко болевой синдром имеет стреляющий характер.
- В верхнюю челюсть и скулу боль отдает при гайморите – воспалении воздухоносной пазухи.
- Боль может быть спровоцирована запущенной формой кариеса, когда поражение достигает пульповой камеры и затрагивает нерв. При некоторых разновидностях пульпита очень сложно определить источник болезненных ощущений. Боль с правой или с левой стороны челюсти около уха может быть спровоцирована режущимся зубом мудрости.
- Если после протезирования человеку стало больно жевать, и у него начала болеть челюсть с одной стороны лица, причиной симптоматики могла стать неправильная форма или некорректная установка протеза.
- Проблемы неврологического характера: невралгия при защемлении языкоглоточного, тройничного нерва.
- Бруксизм – ночное скрежетание зубами.
Новообразования
При частых и сильных болях в челюсти в процессе жевания следует обязательно записаться на консультацию челюстно-лицевого хирурга. Ведь при отсутствии травм и воспалительных заболеваний такая патология может свидетельствовать о развитии злокачественного или доброкачественного новообразования.
Чаще всего опухоли вызывают в челюсти боли слабовыраженного хронического характера.
К доброкачественным новообразованиям относят такие виды, как:
- Остеома. Это опухоль, которая медленно растет из костной ткани. Для нее характерно такие общие признаки, как нарушение прикуса, ограничение в степени открытия рта, деформация челюсти и пр.
- Адамантиома. При таком новообразовании заметно увеличивается размер челюсти, что приводит к болезненности и трудностям в процессе пережевывания еды. В дальнейшем (при росте опухоли) этот дискомфорт усиливается.
- Остеобластокластома. Для такой доброкачественной опухоли свойственны незначительные ноющие болевые ощущения, которые постепенно усиливаются, и с увеличением размера новообразования приобретают непрекращающийся характер.
Саркома остеогенная и рак – это виды злокачественной опухоли. Практически всегда такие заболевания сопровождаются сильной болезненностью, в том числе при нажатии на челюсть. Также следует отметить, что при раке и саркоме пациент ощущает дискомфорт в районе шеи, возле уха и в области непосредственной деформации челюстных костей. Наиболее сильная болезненность при таких видах опухолей наблюдается в подбородке.

https://youtube.com/watch?v=SIJpJJ2yXx0

Сопутствующие симптомы
Боль в челюсти при зевоте, открывании рта и жевании – общий симптом для многочисленных заболеваний. Выяснить, почему болит челюсть, помогает анализ сопутствующих симптомов. Учитывается наличие/проявление:
- Повышенной температуры тела.
- Насморка, боли в горле, носовых пазухах, ухе.
- Ухудшения слуха.
- Болей в других суставах тела.
- Слабости, головокружения.
- Деформации сустава и кости.
- Гнойников на коже или в ротовой полости.
- Зубных болей.
- Хруста в суставе в момент, когда открывается рот.
- Сильной боли: при переломе челюсть болит так сильно, что не открывается рот.
- Усиления боли в суставе при повороте головы влево или вправо.
- Увеличения лимфоузлов.
При дисфункции височно-нижнечелюстного сустава (ВНЧС) могут возникать головные боли, человека постоянно сопровождает хруст в челюсти.
Стоматологические патологии
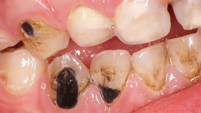
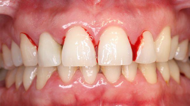
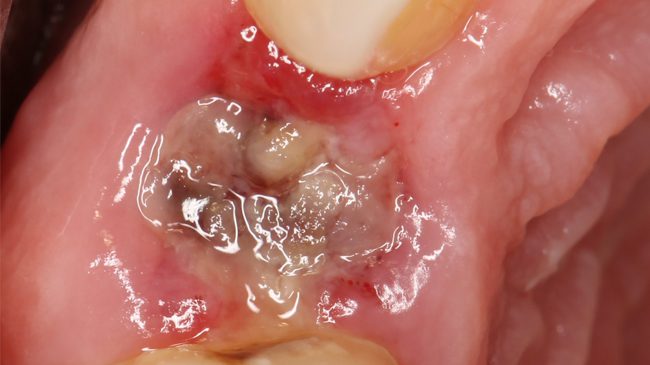
Боль в челюсти при жевании может быть вызвана рядом стоматологических патологий:
- Это могут быть сильные кариозные проблемы, разрушающие зубы. На их месте возникают полости, в которые может попасть инфекция или пища, постоянно раздражающая оголённые нервные окончания.
- Возможно, это пульпит, который также разрушает ткани зуба и раздражает нервные окончания.
- При воспалении околозубных тканей возникает периодонтит.
- Осложнения после пульпита и кариеса – воспаления костной ткани, остеомиелиты.
- Травмы зубов – вывихи, расколы, переломы шейки зуба.
- Боль в ротовой полости может возникнуть при гингивите – дёсны воспаляются, опухают. Боль вызывает пища, которая раздражает больную слизистую.
- После удаления зуба его лунка может воспалиться. При этом она краснеет, опухает и причиняет дискомфорт при пережёвывании пищи.
Кариес
Пульпит
Периодонтит
Вывих зуба
Гингивит
Воспаление лунки зуба
В случае когда боль в челюстном суставе связана со стоматологическими проблемами, наиболее неприятные ощущения возникают во время сна. Пациенты характеризуют их, как пульсирующие, острые, ноющие. Также они усиливаются при употреблении слишком горячей или холодной пищи или напитков, при интенсивном жевании и при сжатии челюстей.
Дмитрий Сидоров
Стоматолог-ортопед
Многие стоматологические патологии могут привести к образованию гнойного процесса. Чаще всего его провоцируют бактериальные инфекции, гораздо реже причиной служат развитие вирусов или грибков.
Из-за проникновения в рану или через волосяной фолликул инфекция может развиться в фурункул. С течением времени воспалительный процесс переходит на мягкие ткани, расположенные глубже, и там образуется гнойный очаг. Этот вид воспаления мешает пациенту открывать челюсть при жевании и разговоре.
Остеомиелит – довольно серьёзное заболевание, которое требует срочного лечения, потому что воспалительный процесс захватывает не только мягкие ткани, но и кости, в тяжёлых случаях может пострадать даже костный мозг. Причиной этого заболевания является инфекция, которая может проникнуть как из внешней среды, так и из повреждённых кариесом или гнойными кистами зубов. Редко, но случается, что инфекция заносится с током крови. Симптомы остеомиелита – боль, повышение температуры, увеличение лимфоузлов, асимметричный отёк лица, может появляться головная боль.
Острый остеомиелит
Флегмона и абсцесс характеризуются образованием гноя, отёком тканей и сильными болями. Эти заболевания требуют незамедлительной медицинской помощи. Разница их в том, что при флегмоне гнойный процесс открытый, а при абсцессе –закрытый. У больного высокая температура, болит голова и челюсть. Затруднён процесс глотания, а челюсть открыть очень сложно.
Осложнением этих недугов может быть распространение воспаления на новые участки и некроз тканей, которые являются угрозой для жизни пациента.

Диагностика
Если у человека болит челюсть возле уха, и ему больно открывать рот, он должен как можно быстрее обратиться к врачу. Обращаться следует к стоматологу или терапевту, при наличии травмы – к травматологу или хирургу. Если стоматолог не выявит стоматологических причин возникновения боли, он направит пациента к соответствующему специалисту.
Для диагностики могут понадобиться разные обследования:
- Рентген челюсти.
- МРТ.
- Осмотр у отоларинголога с помощью специальных инструментов.
- Анализ крови.
- Бактериальный посев гнойных выделений.
Козелок уха. Строение и основные функции
Козелок уха
Данный участок органа слуха представляет собой вырост хрящевидной ткани, играющий значительную роль в функционировании организма. Козелок уха отвечает за восприятие человеком силы исходящих сзади звуков и их направления.
Среди основных функций, которые выполняет этот орган, можно выделить следующие:
- Определение места локализации шумов и звуков, отражение их сзади.
- Повышение восприимчивости уха благодаря коррекции частоты звуковых волн.
- Защита слухового органа от проникновения в него патогенной микрофлоры и попадания посторонних предметов.
- Предупреждение о вторичном бактериальном поражении очагов воспаления при развитии отита наружного или среднего уха.
Благодаря этому хрящевидному выросту у человека имеется возможность своевременно заподозрить возникновение инфекционных ушных болезней. Лёгкое надавливание на выступ может подсказать, что у человека развивается отит или мастоидит. Об этих заболеваниях воспалительного характера будет свидетельствовать острая боль, появившаяся при нажатии. Помимо этого, о неблагополучии может свидетельствовать и выраженная гиперемия кожного покрова этой части ушной раковины.
У козелка имеется помощник – противокозелок. Он располагается на другой стороне уха, через слуховой проход, и практически не заметен. В функции, которые выполняет этот выступ, входит защита человека от исходящих спереди и с боков звуковых волн, имеющих высокую частоту.
Как лечить боль в челюстном суставе при открывании рта
Боль в челюсти не стихнет до тех пор, пока не будет излечено основное заболевание. Если пациент принимает обезболивающее, но не проходит диагностику и не начинает лечение под контролем доктора, симптом будет усугубляться. Направление лечения полностью зависит от поставленного диагноза и сильно отличается в каждом конкретном случае:
- При травмах показано ограничение подвижности сустава, иногда требуется хирургическое восстановление целостности челюсти и челюстного сустава.
- Воспалительные процессы в мягких и твердых тканях, а также ЛОР-органах лечат антибиотиками – если достоверно установлено, что воспаление вызвано бактериальной инфекцией. Может понадобиться хирургическое лечение для удаления скопившегося гноя.
- При онкологических процессах в организме используют специальные средства, контролирующие деление клеток и тормозящие рост тканей. Более поздние стадии прогрессирования болезни лечатся лучевой и химиотерапией.
- При нарушении структуры костной ткани назначаются витамины, комплексные препараты с витаминами и минералами, противовоспалительные медикаменты, лекарства для нормализации хрящевой ткани, специальная диета. Иногда обезболивающее вводят инъекцией прямо в сустав.
- При невралгии делают уколы для блокады нерва, назначают успокоительные и витаминные препараты, физиотерапевтические процедуры, иглоукалывание.
- Кариес, пульпит и прочие повреждения зубов лечат пломбированием или удаляют зуб. Если болезненные ощущения вызвал протез, его нужно заменить.
Профилактика
Лечение при боли в челюсти возле уха при открывании рта может быть весьма затруднительным и длительным. Поэтому лучше заранее позаботиться о том, чтобы такой симптом не появился. Для этого необходима профилактика тех заболеваний, при которых страдают челюсть, суставные структуры и ткани, расположенные поблизости:
- При разговоре, зевании и откусывании пищи нельзя слишком широко открывать рот.
- Нельзя увлекаться слишком твердой и вязкой пищей – она может навредить не только зубам, но и суставам.
- Нужно избегать сквозняков и переохлаждений, контактов с инфекционно-зараженными людьми.
- Необходимо разнообразное питание, обеспечивающее всеми полезными веществами костную и хрящевую ткань.
- После установки протеза с одной или обеих сторон следует тщательно проверить его соответствие анатомической форме челюсти: нужно открыть и закрыть рот, попробовать сомкнуть зубы. Если ощущается дискомфорт, протез придется корректировать.
- Нужно вовремя лечить больные зубы, чтобы инфекция не проникла в верхнечелюстную или нижнечелюстную кость.
- Если внезапно начала болеть челюсть с левой или правой стороны, надо сразу же обратиться к врачу – такой симптом может указывать на опасную болезнь, требующую срочного лечения.
Если у вас болит сустав челюсти при открывании рта, не откладывайте поход к стоматологу. На самолечение полагаться не рекомендуется, так как вероятные при таком симптоме заболевания в запущенной форме могут угрожать жизни.
Причины появления
В области уха у человека находится сустав, который обеспечивает надежное прикрепление верхней и нижней челюсти друг к другу, а также позволяет последней нормально двигаться с целью измельчения пищи и разговора.
Существует множество причин, способных привести к болезненности:
- Регулярные нагрузки на суставное соединение, провоцирующие напряжение мышц и боль в суставе.
- Врожденные аномалии развития связочного аппарата челюстного сустава.
- Ушибы мягких тканей в области челюстного сустава.
- Переломы верхней или нижней челюсти, сопровождающиеся осложнениями.
- Наличие в челюсти импланта или ношение брекетов, провоцирующих дискомфорт.
- Длительное пребывание челюсти в неудобном положении.
- Переохлаждение сосудов и нервных окончаний, локализующихся в области суставного соединения.
- Прорастание зуба мудрости или воспаление его нервно-сосудистого пучка.
Помимо этого, у пациентов, которые употребляют преимущественно твердую пищу, болезненность в области уха появляется гораздо чаще. Что объясняется повышенной нагрузкой на челюсть.
Возможные заболевания
Болит челюсть возле уха слева или справа у пациентов не только в результате естественных физиологических факторов. Дискомфорт нередко связан с серьезными заболеваниями.
- Остеомиелит – заболевание костей, которое может локализоваться в челюсти и сопровождается развитием гнойного воспалительного процесса в костной ткани. В большинстве случаев патология поражает трубчатые кости, но может развиваться и в челюстных костях. Помимо боли, человек говорит о повышении температуры тела и симптомах интоксикации.
- Гайморит также может провоцировать боль, особенно при поражении пазух, расположенных под глазами. При этом боль ноющая, развивается ринит, выделения из носа имеют желтый или зеленый цвет.
- Отит часто поражает среднее ухо, но боль локализуется не только внутри, но и в области челюстного сустава. Дополнительно появляются выделения из пораженного уха, повышается температура тела, наблюдается головная боль.
- Острый или хронический тонзиллит нередко становится причиной боли, поскольку воспаление распространяется быстро, а болезненность появляется в области челюсти.
- Воспаление нервных окончаний, которые иннервируют челюстной сустав. При этом может поражаться ушной узел, тройничный нерв или верхний нерв гортани. Симптоматика усугубляется болью в мышцах и дискомфортом при малейшем движении.
- Патологии зубов, языка и десен, например, стоматит, гингивит, воспаление пародонта. Даже кариес в запущенной форме может провоцировать боль. Обычно присутствуют и другие симптомы, которые позволяют дифференцировать болезни.
- Опухоли, локализующиеся в области челюсти или непосредственно в суставе, кости. Подобное встречается довольно редко, но может провоцировать сильную боль.
- Артроз сустава челюсти также встречается очень редко. Однако при таком заболевании боль проявляется преимущество во время разговора или приема пищи. В покое человек не ощущает изменений.
- Заболевания сердца нельзя исключить из списка возможных причин, поскольку при обострении стенокардии, а также развитии инфаркта миокарда боль в области груди отдает в левую руку, а также плечо и челюсть.
Почему болят скулы на лице?
Чтобы понять, что это такое и отчего появляется, следует обратиться к специалисту. При посещении врача и жалобах на проблему, он будет обращать особое внимание на следующие показатели:
- Места расположения боли – постоянное или периодически меняется, возле уха, носа, под глазом, у виска и т. д. От этого во многом зависят и следующие диагностические процедуры, которые помогут быстрее установить причину заболевания.
- Интенсивность ощущений, их характер – приступообразный, пульсирующий, ноющий, постоянный, сильная жгучая боль или не очень.
- Дополнительные жалобы и симптомы, которые проявляются в виде насморка, температуры, мигрени и пр. Именно они помогут быстрее поставить правильный диагноз, так как больше скажут о месте воспаления и других особенностях.
- Воспаление челюстного сустава, поражение которого проявляется болями недалеко от уха. При этом наблюдаются ноющие ощущения, похрустывание при открытии рта или при жевании. По симптомам они напоминают отит и эти заболевания часто сопровождают друг друга. Боль меняется по интенсивности от слабой и ноющей до резкой.
- Различные проблемы с зубами, такие как кариес, воспаления десен, периодонтит, пульпит, остеомиелит и пр. Обычно они проявляются пульсирующей выраженной болью, которая усиливается при жевании твердой пищи или надавливании. Если же у пациента остеомиелит, то это также сопровождается отеком на лице, повышенной температурой и особо интенсивной болью.
- Такие неврологические заболевания, как поражение ушного или гортанного нервного узла, лицевых нервов вызывают довольно ощутимую боль при нажатии, щелчки или шумы в ушах, а также усиливают слюноотделение. Иногда челюсть даже немеет.
- Очень частой причиной оказывается мигрень.
- Заболевание лицевой артерии – тогда боль распространяется не только на скулы, но и дальше по ходу ее расположения – ближе к глазам, возле носа и в районе верхней губы. Это очень опасное заболевание, так как без лечения приводит к кровоизлиянию в мозг.
- Различные патологии носоглотки и горла – к ним относятся гайморит, фарингит, фронтит, ангина, болезни околоушных слюнных желез или лимфатических узлов.
- Вывихи и травмы верхнечелюстного сустава, которые могут образоваться от механического повреждения челюсти или слишком сильного зевания. При этом наблюдается смещение подбородка, нарушение овала лица и проблемы с дикцией. Боль в таком случае ноющая, не очень сильная и пациент знает, в какой момент начались проблемы.
- Артрит, который поражает сустав верхней челюсти. Особенно если его оставить без лечения, приведет к различным серьезным патологиям и необратимым последствиям.
- Новообразования, доброкачественные и злокачественные – остеоидная остеома, остеобластокластома, саркома. Каждая из них проявляется особо, боль может быть интенсивной сразу или постепенно нарастающей, а то и вовсе симптоматика отсутствует длительный период.
Механизм возникновения и характер боли
Боль во время открывания рта у человека может указывать на нарушение функционирования височно-нижнечелюстного сустава. В зависимости от интенсивности и продолжительности болей различают:
- острая боль – появляется внезапно и так же внезапно прекращается;
- хроническая боль – беспокоит человека постоянно, угасает ненадолго и быстро возвращается снова.
Острая боль при открытии рта может возникать на фоне длительной фиксации нижнечелюстного сустава в одном положении, например, в стоматологическом кресле. В этом случае в челюстном суставе скапливается жидкость или кровь и любое движение челюстью вызывает у него острую боль. Как правило, для устранения этой боли достаточно снизить нагрузку на нижнечелюстной сустав – отказаться от жевательной резинки, осторожно открывать рот при зевоте.
Хроническая боль при открывании рта, которая беспокоит человека постоянно или возникает без видимой причины, может сигнализировать о протекающих патологических процессах в челюстном суставе, например, артрозе. Как правило, такая болезнь развивается вследствие отсутствия боковых опорных зубов из-за возрастающей нагрузки на кость и мышцы.
Боли при открывании рта могут также возникать на фоне заболеваний среднего уха, а у маленьких детей – в период прорезывания зубов.
Боль после удара, что делать?
При ушибе могут быть повреждены не только мягкие ткани, но и нервы. Появляется отечность, образуется гематома. После полного заживления симптомы должны бесследно исчезнуть. Для того, чтобы ускорить процесс выздоровления, рекомендуется пользоваться мазями, которые проникают вглубь тканей и устраняют все последствия травмы.
Появиться травмы могут в том случае, если человек резко и сильно открывает рот. При наличии вывиха врач-травматолог будет вправлять сустав вручную, симптомы должны быстро исчезнуть.
Причины появления болей при открывании рта
Существует множество причин развития боли в области челюсти и нижнечелюстного сустава, самыми частыми из них являются:
- полученные травмы и ушибы челюсти;
- перелом челюсти;
- вывих нижней челюсти;
- дегенеративно-дистрофические заболевания нижнечелюстного сустава;
- артрит нижнечелюстного сустава;
- хронические заболевания зубов, пульпит;
- гайморит;
- остеомиелит;
- воспаление языка – глоссит;
- стоматит ротовой полости;
- карбункул или фурункул в области носогубного треугольника;
- неврит лицевого нерва;
- невралгия;
- воспаление тройничного нерва;
- онкологические процессы в области нижней челюсти.
Общие методы лечения болезней челюсти
Как избавиться от неприятных ощущений в области челюсти? Лечение заболевания, которое вызывает такой дискомфорт, подбирается в соответствии с поставленным диагнозом. Возможны следующие направления терапии:
- Медикаментозное лечение, предусматривающее применение обезболивающих и противовоспалительных препаратов, а также антибиотиков.
- Помощь врача-травматолога, при которой вправляется вывихнутый сустав или осуществляется иммобилизация перелома.
- Хирургическое вмешательство. Обычно операцию проводят в том случае, если требуется правильное сращение костей челюсти (например, после полученной травмы). Кроме того, хирургическое вмешательство может быть осуществлено при необходимости санировать гнойный очаг, удалить злокачественное новообразование или пересечь ветвь нервного сплетения, (если невралгия проявляется очень сильно, а лечение медикаментами не помогает).
- Помощь врача-стоматолога. Такой специалист производит санацию или удаляет больной зуб, а также лечит болезни десен.
- Облучение или химиотерапия – предусмотрены при наличии злокачественных опухолях.
- Народные средства. В качестве таких методов используют компрессы, полоскание ротовой полости различными отварами, примочки. Следует особо отметить, что народные средства при болях в челюсти допустимо применять только в качестве вспомогательного лечения.
Симптомы
Сопутствующие симптомы болей при открывании рта во многом зависят от причины развития патологии, рассмотрим их подробнее.
Травмы челюсти
Ушиб челюсти является наиболее распространенной травмой, которая вызывает сильную боль при малейшем движении рта. Важно понимать, что ушиб – это нарушение целостности мягких тканей, при этом не затрагивается кость и сам сустав нижней челюсти.
Ушиб челюсти, как правило, возникает в результате сильного удара по лицу или после падения человека на лицо. Самыми частыми симптомами ушиба нижней челюсти являются:
- боли при открывании рта и совершении жевательных движений;
- гематома в области подбородка и лица;
- нарушение функционирования челюсти (невозможность произношения звуков, боль при жевании, зевании и любой манипуляции, требующей открывания рта).
Вывих челюсти
Вывих височно-нижнечелюстного сустава характеризуется смещением суставных площадок относительно друг друга. Различают односторонний вывих (при вывихе 1 сустава) и двусторонний (при вывихе 2 суставов одновременно).
Причинами вывиха челюсти являются:
- удары, полученные в лицо;
- падение на лицо;
- чрезмерное широкое открывание рта, например, при зевоте, попытке откусить большой кусок еды, зевоте.
Вывих нижней челюсти чаще всего встречается у пожилых людей, что связано с анатомическими особенностями суставов и связок и намного реже у детей.
Клиническими симптомами вывиха височно-нижнечелюстного сустава являются:
- сильная боль в области пораженного сустава или с обеих сторон в случае двустороннего вывиха;
- рот постоянно открыт, и любая попытка закрыть его вызывает у пострадавшего резкую боль;
- слюнотечение;
- невозможность нормально разговаривать.
В редких случаях могут встречаться хронические вывихи нижней челюсти. Это возникает на фоне растяжения связок, фиксирующих сустав, поэтому при любом предрасполагающем факторе могут случаться подвывихи.
Перелом челюсти
Перелом нижней челюсти отличается от ушиба нарушением целостности костной ткани, в травматологии различают такие виды данной патологии:
- полный перелом со смещением осколков кости;
- частичный перелом, неполный без смещения (как правило, это трещины в области кости).
Полный перелом челюсти может быть открытым – когда нарушается целостность тканей лица или закрытым – без повреждения кожи лица.
Клиническими симптомами перелома челюсти являются:
- резкая боль в области челюсти;
- гематома;
- припухлость тканей, заметная невооруженным глазом.
В случае перелома верхней челюсти у пострадавшего в течение 1-2 часа возникают кровяные синяки под глазами, что является следствием кровоизлияния из кости в ткани.
Остеомиелит, как причина боли при открытии рта
Остеомиелит представляет собой воспалительное заболевание, протекающее в области костного мозга и околокостных тканей. Главной причиной развития этого заболевания является проникновение в костную ткань челюсти болезнетворных микроорганизмов. Пути проникновения бактерий бывают разными:
- через больные зубы, которые длительно не лечили;
- с током крови из очагов инфекции (например, в результате фурункулов и карбункулов);
- в результате полученной травмы и инфицирования раневой поверхности.
Болезни гнойно-воспалительного характера
Довольно часто гнойный процесс острого характера провоцирует развитие болевых ощущений в одной из челюстей. К наиболее распространенным заболеваниям такого рода относят:
- Фурункул в носу, на лице. Такая болячка характеризуется острым гнойным воспалением кожи. Чаще всего очаг ее распространения ограничен, но при этом имеет выраженную болезненность, отдающую в те или иные области.
- Остеомиелит. Для такого заболевания характерно воспаление костной и мягкой ткани. Остеомиелит сопровождается болезненностью зубов, которая переходит на всю челюсть, а также проявляется отечностью и асимметрией лица.
- Флегмона. Признаки этого заболевания схожи с симптомами остеомиелита – отечность лица, сильная боль в зубах или под ними, повышение температуры тела. Зона воспаления при флегмоне может распространяться.
- Абсцесс. Такое заболевание нередко возникает в результате появления трещины в челюсти или же какого-либо другого механического повреждения этой части скелета, а также сопутствующей инфекции. Если абсцесс развивается наверху, то пациент испытывает сложности с открытием рта и глотанием, а если внизу, то возникает боль при жевании. Такая патология способствует возникновению отека подчелюстного треугольника, а также искажению формы лица.
Методы диагностики боли при открывании рта
Чтобы установить точную причину появления болей при открывании рта врач назначает пациенту комплексное обследование, которое включает в себя:
- тщательный сбор анамнеза – что спровоцировало появление боли, были ли травмы лица, болели ли зубы, пребывал ли пациент длительно на сквозняке и т.д.;
- консультация необходимых узких специалистов – травматолога, стоматолога, невролога;
- общий анализ крови и мочи;
- рентген челюсти – помогает точно выявить место локализации воспалительного процесса и определить, нет ли перелома;
- компьютерная томография – данное исследование позволяет с высокой точностью выявить локализацию воспалительного процесса, особенности строения зубов и состояние периодонта, состояние гайморовых пазух.














