Осложнения люмбаго 490
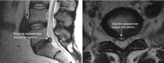
Дорзальная грыжа – это осложнение длительно протекающего остеохондроза с разрушением фиброзного кольца. Она отличается тем, что выпячивание пульпозного ядра происходит в просвет спинномозгового канала.
Позвоночник – это не только опорная конструкция для всего тела. Внутри него располагается спинномозговой канал. Он покрыт дуральными оболочками. Внутри находится спинной мозг, являющийся центром вегетативной нервной системы. От спинного мозга через фораминальные отверстия в телах позвонков отходят корешковые нервы. Их защиту обеспечивают хрящевые межпозвоночные диски.
Межпозвоночный диск – это структура, состоящая из плотной оболочки (фиброзного кольца) и внутреннего студенистого тела (пульпозного ядра). Собственной кровеносной сети межпозвоночный диск не имеет, поэтому получает питание и жидкость только при диффузном обмене с окружающими его мышечными тканями. Дорзальная межпозвонковая грыжа является следствием длительного обезвоживания фиброзного кольца. В результате этого дегенеративного дистрофического процесса хрящевая ткань утрачивает свою эластичность и становится достаточно хрупкой. Любое чрезмерное физическое усилие приводит к тому, что фиброзное кольцо лопается. Образуется трещина, через которую выходит часть пульпозного ядра.
Если дорзальные грыжи поясничного отдела не лечить своевременно, то избежать хирургической операции не удастся. Этот тип выпячиваний отличается склонностью к секвестрирвоанию (отделению части пульпозного ядра или его целиком от фиброзного кольца). Нахождение белков пульпозного ядра в спинномозговом канале негативно сказывается на состоянии дуральных оболочек. Они раздражаются и воспаляются. Это дает клинические симптомы стеноза спинномозгового канала. У пациента рано развивается парез крупных мышц нижних конечностей, может развиться недержание мочи и энкопрез.
Ущемление нервных корешков является вторичной реакцией на фоне снижения высоты межпозвоночного диска. Дорзальные грыжи дисков поясничного отдела начинают проявляться клинически с болевых ощущений в области пораженного межпозвоночного диска. Затем болевой синдром распространяется по нижним конечностям, передней брюшной стенке и т.д. Иногда, при высоком уровне расположения дорзальной грыжи возникает клиническая картина почечной или печеночной колики. Это существенно затрудняет постановку правильного диагноза. Поэтому всем пациентам, предъявляющим жалобы в правом подреберье или по ходу мочеточников следует в обязательном порядке делать рентгенографический снимок поясничного отдела позвоночника. Это позволит исключить вероятность появления грыжевого выпячивания.
В настоящее время дорзальный тип грыжи считается наиболее сложным в плане консервативного лечения. Терапией занимается врач невролог или вертебролог. Участковый терапевт вряд ли сможет оказать качественную профессиональную помощь пациенту с таким осложнением остеохондроза. При отсутствии правильного и своевременного лечения этот тип грыжевого выпячивания неизбежно приводит к параличу нижних конечностей, нарушению функции внутренних органов брюшной полости и малого таза.
В запущенных случаях возможно только хирургическое оперативное лечение. На ранних стадиях, когда еще не произошло секвестрирование пульпозного ядра можно успешно проводить эффективное лечение методами мануальной терапии, лечебной гимнастики, лазерного воздействия, остеопатии и т.д.
В предлагаемом материале можно узнать типичные симптомы патологии, причины её возникновения и способы эффективного лечения после проведения дифференциальной диагностики.
Что это такое — медианная грыжа?
Образование медианной грыжи межпозвонкового диска возникает при его деформации. Внутреннее полужидкое содержимое диска (пульпозное ядро) прорывается наружу сквозь плотную фиброзную оболочку и выпячивается в центр канала позвоночника.
Патология вызывает сильный болевой синдром из-за защемления нервных окончаний, за счет сдавления спинного мозга больной может утратить подвижность.
Медианная грыжа может появляться в разных местах позвоночника, но чаще всего страдает поясничный либо пояснично-крестцовый отдел, так как на него приходится максимальная нагрузка при физической активности человека. Поражаются позвонки L5-S1, L4-L5, L1-L2. Реже страдают позвонки L3-L4, на их долю приходится всего лишь 4% грыжевых выпячиваний.
В шейном отделе медианная грыжа чаще формируется на уровне позвонков C5-C6, C6-C7. В грудном отделе эта патология – редкость. Причина – в максимальной фиксации позвонков грудного отдела реберными костями, а также в минимальной нагрузке на эту область.
Как подразделяются грыжи в зависимости от направления выпадения секвестра?
Здесь речь пойдет о таких видах, как переднебоковые, заднебоковые и медианные. Поговорим немного подробнее о каждом из указанных видов. Переднебоковые грыжи находятся вне пределов передней полуокружности туловищ позвонков, при этом виде происходит прободение или отслаивание передней продольной связки. Такие грыжи могут стать причиной симпаталгического синдрома, если в процесс вовлечена паравертебральная симпатическая цепочка. Заднебоковые грыжи прободают соответственно заднюю часть фиброзного кольца проходя по средней линии (где бывают медианные грыжи), сбоку (так называемые латеральные грыжи) либо близ нее (парамедианные). Представляют такие грыжи наибольшую угрозу всему содержимому канала позвоночника. Срединные грыжи (медианные) нередко могут достигать ощутимо больших размеров и часто прободают заднюю связку (продольную), располагаясь эпидурально. Иногда они способны проникать даже сквозь твердую оболочку мозгового нерва далее в субарахноидальное пространство. Секвестр может свободно перемещаться как в нисходящем, так и в восходящем направлении. Парамедианные грыжи, как правило, возникают на уровне пары нижних дисков поясницы, где они вызывают компрессию корешков соответственно в l5 и s1 частях их отправления из дурального мешка.


Виды медианных грыж
Заболевание классифицируют, исходя из локализации грыжевого выпячивания, его направления и расположения относительно позвоночного канала. Бывают следующие виды:
- Медианная. Выпячивание к центральной линии позвоночника.
- Парамедианная. Бывает правосторонняя и левосторонняя. Выпячивание направлено к центру позвоночного канала и немного вбок – влево или вправо.
- Медианно-парамедианная. Выпирание диска располагается как к центру срединной линии, так и вбок от нее.
- Медианно-парамедианная билатеральная. Грыжевое выпячивание направлено к центру и вбок, возникает с двух сторон позвонка.
- Парамедианная секвестрированная. Грыжа направлена в центр спинномозгового канала, пульпозное кольцо частично или полностью вываливается.
- Парамедианно-фораминальная. Выпячивание направлено в место, где выходит пучок нервных корешков.
Возможные осложнения
Самое часто диагностируемое осложнение дорзальной позвоночной грыжи — корешковый синдром, возникающий из-за сдавления спинномозгового нерва. На начальном этапе он проявляется болевым синдромом, а затем наблюдаются понижение чувствительности, мышечная слабость и атрофия.
При сужении позвоночного канала возможно формирование дискогенной миелопатии. Расстраиваются двигательные функции, развиваются периферические парезы.
Причины возникновения
Основная причина развития медианной грыжи – остеохондроз позвоночника, при котором происходит дегенеративное разрушение хрящевой ткани межпозвонковых дисков.
Факторы, которые могут спровоцировать патологию:
- слабые мышцы спины вследствие малоподвижного, сидячего образа жизни;
- нарушение осанки;
- неправильная постановка стопы при ходьбе (например, плоскостопие) – нарушает баланс распределения физической нагрузки на позвоночник;
- лишний вес, что увеличивает нагрузку на межпозвонковые диски;
- несбалансированный рацион, вследствие чего в организм не поступают все необходимые витамины и минералы;
- нарушение обменных процессов, недостаточное употребление питьевой воды, что ведет к обезвоживанию хрящевой ткани и постепенному ее разрушению;
- курение и злоупотребление спиртными напитками.
Причины и факторы риска
Дорзальные грыжи дисков могут возникать по следующим причинам:
- Травматические воздействия;
- Избыточная масса тела;
- Чрезмерное физическое напряжение;
- Резкие движения, подъем большого груза с неправильной техникой;
- Генетически слабый тонус мускулатуры;
- Недостаток двигательной активности;
- Инфекционные заболевания.
Если пациент предрасположен к грыже и даже постоянно наблюдается у врача, трудно сказать, куда будет направлен разрыв фиброзного кольца. Обычно это происходит в наименее плотном и защищенном месте. Основной фактор развития протрузий, а затем грыж – остеохондроз, дегенеративно-дистрофические изменения хрящевой ткани межпозвоночных дисков.
- Советуем прочитать: что такое фораминальная грыжа?
Образ жизни современного человека располагает возникновению сначала остеохондроза, а затем и грыжи. Мы стали мало двигаться, и большой процент населения постоянно сидит на работе с неправильной осанкой. Неудивительно, что мышцы, поддерживающие спину, становятся слабее. Нагрузка при этом на них увеличивается, так как масса тела в такой ситуации имеет тенденцию расти.
Симптомы патологии
Основной признак медианной межпозвонковой грыжи – болезненный синдром в том отделе позвоночника, где локализуется выпячивание. Боли сначала слабые, со временем усиливаются, могут иметь постоянный или непостоянный характер.
Другие симптомы при формировании медианного грыжевого выпячивания в шейном отделе позвоночника:
- головная боль;
- головокружение;
- потемнение в глазах;
- шум в ушах;
- скачки артериального давления;
- нарушение координации;
- онемение, покалывание в руках, области плеч и лопаток.
Проявления при расположении медианного выпячивания в грудном отделе позвоночника:
- межреберная невралгия;
- одышка;
- аритмия;
- нарушения работы желудочно-кишечного тракта.
Симптомы при грыже в пояснично-крестцовом отделе:
- острая боль в области поясницы;
- почечная недостаточность;
- утрата чувствительности ног;
- синдром «конского хвоста» – прострелы в бедро вплоть до икроножной мышцы, нарушение работы кишечника и мочеполовые расстройства.
Разновидности дорзальных грыж
Образование может появиться в любой части позвоночника. По характеру нарушения грыжа бывает:
- Дорзальная диффузная – у нее нет отчетливо проявленной деформации, нарушения могут быть по всему диску.
- Парамедиальная – вектор сдвинут к определенной части спинномозгового канала.
- Фораминальная – выпирание фиброзной ткани захватывает канал, в котором расположено нервное окончание. Оно сильно сдавливается и появляется заметный болевой синдром.
- Дорзальная медиальная – нацелена в середину спинного мозга.
- Медиально-парамедиальная – здесь вектор нацелен от центровой оси к одной или другой стороне позвоночника, другими словами, грыжа находится под углом. Также возможно искривление и боль позвоночного столба.
Методы диагностики
Для постановки диагноза, выявления локализации грыжевого выпячивания, его размеров кроме визуального осмотра пациенту назначают такие диагностические исследования:
- рентген;
- компьютерная томография (КТ);
- магнитно-резонансная томография (МРТ);
- электронейрография.
Рентгенограмма не показывает грыжевое выпячивание, но на снимках можно увидеть дегенеративные процессы в костной ткани, изменение размеров междискового пространства.
Самый информативный метод – МРТ. С его помощью можно получить полную картину патологии. При невозможности сделать магнитно-резонансную томографию назначают КТ, но ее снимки не имеют высокого качества. Электронейрография позволяет оценить скорость проведения нервных импульсов.
Как проходит лечение грыжи
При начальной стадии заболевания назначают комплексное консервативное лечение, которое направлено на купирование болевого синдрома и снятие воспалительного процесса.
При острых болях показан постельный режим. Это помогает расслабить спазмированные мышцы спины, что понижает давление на нервные окончания спинного мозга. Больному назначают медикаментозную терапию. После того, как острый период пройдет, требуются физиотерапия, лечебная физкультура.
При несостоятельности консервативного лечения, проводимого в течение 6 месяцев и более, развитии тяжелых осложнений требуются радикальные методы в виде оперативного вмешательства.
Лекарственные препараты
При лечении медианной межпозвонковой грыжи пациенту назначают следующие группы лекарств:
| Группа препаратов | Как действуют | Названия |
| Анальгетики | Уменьшают боль, снимают воспаление | Кеторол, Кетанов |
| Нестероидные противовоспалительные средства (НПВС) | Купируют боль, подавляют воспалительный процесс, снижают жар | Ибупрофен, Диклофенак |
| Миорелаксанты | Снимают мышечный спазм в пораженном участке | Мидокалм, Баклофен |
| Хондропротекторы | Восстанавливают разрушенную хрящевую ткань, улучшают обмен веществ в ней (не доказано) | Хондроксид, Хондролон, Артра, Алфлутоп |
| Блокады | Снимают острую боль, назначают при отсутствии эффекта анальгетиков, НПВС | Новокаин, Лидокаин |
| Витамины группы В | Улучшают обменные процессы, восстанавливают пораженные ткани | Мильгамма |
Было проведено исследование по лечению межпозвонковых грыж препаратом Кеторол. Общая продолжительность терапии – не более 5 дней. Первые дня больным назначали препарат в форме инъекций внутримышечно по 30 мг 2 раза в день, следующие 3 дня в форме таблеток по 10 мг 2 раза в день. Во время терапии другие анальгетики, нестероидные противовоспалительные средства не применялись. Оценка результатов показала снижение болевого синдрома на 66% на третий день лечения, и на 82% – к завершению лечения.
Интенсивность болей после инъекций снизилась в 2,3 раза, после таблеток – в 4 раза в сравнении с исходной. Также была проведена оценка безопасности Кеторола. Отличная и хорошая переносимость препарата наблюдалась у 83% пациентов, побочные эффекты выявлены у 16% (источник – научная статья «Возможности оптимизации анальгетической и противовоспалительной терапии у больных с острым болевым синдромом в спине», авторы Н. А. Шостак, Н. Г. Правдюк и другие).
Массаж и ЛФК
Медикаментозное лечение медианной грыжи обязательно дополняют комплексом лечебной физкультуры – ЛФК. Регулярные упражнения укрепляют мышечный корсет, возвращают тонус мускулатуре, снимают нагрузку с пораженных позвонков.
Параллельно с лечебной физкультурой после снятия обострения назначают массаж. Возможно проведение мануальной терапии. Эти процедуры снимают мышечные спазмы, возвращают позвонки в здоровое анатомическое положение.
Действия должны проводиться максимально аккуратно, чтобы не вызвать еще большее смещение позвоночных структур.
Физиотерапия
Физиотерапевтические процедуры назначают только после снятия острой боли. При лечении медианной грыжи межпозвонкового диска эффективны такие методы:
- магнитотерапия;
- грязевые ванны;
- лазеротерапия;
- электрофорез;
- гирудотерапия;
- иглорефлексотерапия.
Эти процедуры расслабляют мышцы спины, что снимает нагрузку с больного диска, улучшают обменные процессы и кровообращение в тканях, проводимость нервных окончаний.
Хирургическое вмешательство
Если консервативная терапия при медианной грыже не дает облегчения, пациенту может быть назначено хирургическое вмешательство.
Операции проводят при помощи малоинвазивных методов:
- холодноплазменная нуклеопластика;
- лазерная вапоризация;
- микродискэктомия.
После операции требуется длительный реабилитационный период. В этот период важно соблюдать все врачебные рекомендации, чтобы избежать послеоперационных осложнений.
Проводились исследования по анализу результатов хирургического лечения у 100 пациентов с межпозвонковой грыжей L4-L5 и L5-S1 в Институте нейрохирургии им. акад. А.П. Ромоданова. Была сделана стандартная микродискэктомия больным, причинами появления грыжи у которых послужили чрезмерные физические нагрузки (подъем тяжестей), занятия силовыми видами спорта, травмы позвоночника (падение). Оценка результатов хирургического лечения дает возможность судить об адекватности и эффективности операции – отличный результат у 58% пациентов, хороший результат – у 41%, удовлетворительный – у 1% (источник – научная статья «Анализ результатов хирургического лечения больных в зависимости от локализации грыж поясничных межпозвонковых дисков», авторы Н. Е. Полищук, И. С. Бринкач, Е. И. Слынько).
Народные средства
Многие методы народной медицины помогают уменьшить боль, снять воспаление. Но их можно применять только как дополнение к медикаментозной терапии, массажу, лечебной физкультуре, и ими нельзя заменять лечение, назначенное врачом.
Самолечение запрещено, поэтому прежде чем использовать различные травы, настои, отвары, компрессы, следует проконсультироваться с доктором. Некоторые средства могут ухудшить состояние и навредить и так пораженным тканям.
Причины появления медиальной грыжи диска L4 L5 и методы лечения
Медианная грыжа диска l4 l5 опасное заболевание, так как при ней повреждается спинномозговой канал. Этот вид грыжи чаще диагностируется у людей с малоподвижным образом жизни. Также провоцирует болезнь постоянное сгибание позвоночника и его частые травмы.
Что означает диагноз «Медиальная грыжа диска L4 L5»
Межпозвонковая грыжа образуется при смещении дисков позвоночника. Если смещение происходит в середине позвоночника, ставится диагноз медианная (медиальная) грыжа. Часто при этом процессе разрывается фиброзное кольцо, оно выпячивается в переднем или заднем направлении.
В половине случаев нарушения происходят в четвертом и пятом позвонках, на что указывают соответствующие цифры. Буква L означает, что эти позвонки находятся в поясничном отделе.
При несвоевременном обращении за врачебной помощью медианная грыжа приводит к тяжелым последствиям.
Основные симптомы заболевания
Медиальная грыжа диска l4 l5 имеет различные размеры. В начале заболевания появляется небольшое выпячивание, болезненные ощущения слабые, они начинаются от поясницы и распространяются в крестец и по бокам бедер. Когда грыжа разрастается, боль опускается ниже колена.
Симптомы заболевания обычно проявляются следующим образом:
- ноющая боль непостоянного характера в пояснице, со временем она усиливается;
- боль и онемение в ногах;
- слабость при разгибании стопы;
- изменение осанки;
- мраморность кожи;
- нарушение потоотделения.
Не все симптомы проявляются после начала образования грыжи, они формируются по мере разрастания.
Если при небольшой грыже диска не начать лечение, она постепенно растет и разрывается. Обычно прорывается задняя продольная связка. Из-за этого происходит нарушение работы внутренних органов, вследствие чего могут парализоваться нижние конечности.
Диагностика и лечение
Для лечения грыжи лучше обращаться к нейрохирургу. Специалист может поставить первичный диагноз можно по локализации боли. Но для назначения правильного лечения пациента направляют на рентгенографию, миелографию или на МРТ.
На начальных стадиях болезнь лечится медикаментозно, оперативное вмешательство проводится при тяжелых формах.
Операции при подобном диагнозе более сложные, так как в связи с анатомическими особенностями доступ к медианным грыжам получается неудобным.
Из-за близкого расположения спинного мозга при неправильной манипуляции появляется риск тяжелых осложнений.
Особую опасность при хирургическом вмешательстве представляет медианно парамедианная грыжа, при которой выпячивание происходит по центру и сбоку.
Прогноз выздоровления
Ранняя диагностика патологии существенно повышает шансы выздоровления. Поэтому при появлении боли в спине и других симптомов следует обращаться сразу же в клинику.
Если медианная грыжа вовремя не была диагностирована и больной не получал лечения, возникают необратимые последствия и паралич конечностей.
Чтобы ускорить выздоровление, лечение медианной грыжи межпозвонкового диска лучше проходить в Чехии. Клиники предлагают комплексную терапию, направленную на снятие боли и воспаления, восстановление чувствительности, уменьшение размеров грыжевого выпячивания.
Профилактические рекомендации
Основные меры профилактики при медианной грыже:
- отсутствие сильных физических нагрузок;
- сбалансированное питание;
- активный образ жизни.
Необходимы регулярные занятия спортом, они укрепляют мышцы, стабилизирует позвоночник. Это может быть плавание, пешая ходьба, утренние пробежки.
Необходимо следить за осанкой, выбирать правильную и удобную обувь без высоких каблуков, можно носить ортопедический корсет для спины при постоянном вынужденном нахождении в положении сидя или стоя.
Требуется правильное сбалансированное питание, которое обеспечит организм и пораженные структуры позвоночника необходимыми витаминами и минералами. Также соблюдение диеты предотвратит набор лишнего веса, который увеличивает нагрузку на позвоночник
Оперативное вмешательство
Хирургическое удаление грыжи будет проведено, если:
- В продолжение шести месяцев состояние больного не стало лучше или, наоборот, значительно ухудшилось;
- У больного продолжают ослабевать мышцы, которые располагаются рядом с нервным корешком;
- Если при комплексном лечении происходит улучшение, затем снова ухудшение, и так несколько раз.
Для лечения дорзальной грыжи применяется ламинэктомия. Однако такая разновидность операции имеет множество недостатков, в том числе необходимость совершения крупного разреза для получения доступа к грыже. На заживление требуется большое количество времени, по истечении которого мышечный корсет значительно ослабевает. Это приводит к появлению повторной грыжи.
Именно поэтому стали задумываться о разработке современного способа лечения. Оперативное лечение лазером — одна из доступных методик. Срок проведения такой операции равен десяти минутам, на следующий день пациент может выписаться с больницы.
Полностью отсутствует вероятность рецидива. Однако и у этого способа есть минус — луч, который формируется лазером, непросто контролировать. В некоторых случаях могут быть незначительно повреждены органы, расположенные рядом. Однако 95-97% всех операцией лазером осуществляются успешно.
Микродискэктомия — хирургическое удаление дорзальной грыжи диска шейного отдела. Сегодня она признана одной из самых эффективных и безопасных методик.
Такая операция осуществляется под большим увеличением с использованием лупы или специального микроскопа. Микродискэктомия может справиться с любой грыжей, причем травмирование нервной структуры маловероятно.
Длина хирургических разрезов не превышает 5 см, поэтому возможность появления осложнений минимальна. После такой операции, пациент может частично восстановить прежний образ жизни через две недели, а начать активный ритм уже через месяц.
Реабилитация
Реабилитационный период — срок после проведения операции, во время которого также требуется придерживаться определенных правил. Если им не следовать, то появляется вероятность развития осложнений и ухудшения общего состояния организма.
В период реабилитации:
- Категорически запрещено курение;
- Пациенту прописан постельный режим, который нельзя нарушать;
- Правильное питание;
- Ношение корсета, но не более двух часов в сутки;
- Запрещаются активные физические нагрузки на организм.
В среднем реабилитация длится до двух недель.








