Трещина в ребре а ребра — это парные плоские дугообразные кости, которые, соединяя грудину и позвоночник, образуют грудную клетку. Они защищают легкие, сердце, другие внутренние органы и кровеносные сосуды от механических повреждений, поддерживают нормальную внутреннюю структуру организма человека.
Трещина в ребре симптомы. После такой травмы иногда следует растяжение или разрыв межреберных мышц, сухожилий или связок.
Треснувшие ребра могут повредить кровеносные сосуды и другие внутренние органы.
Подобные повреждения могут стать последствием воздействия таких факторов:
- Сильные ушибы грудной клетки. Они могут быть получены в результате несчастных случаев или занятий активными видами спорта.
- Люди, страдающие заболеваниями костей, более подвержены травмам. При остеопорозе плотность костной ткани уменьшается, а сами кости становятся более хрупкими.
- Воспаление хряща, соединяющего ребра с грудиной.
- Плевра — это мембрана в грудной полости, которая окружает каждое из легких. Сильные отеки плевры могут привести к трещине.
- Если в области ребер развивается раковая опухоль, есть вероятность возникновения трещин.
- Тяжелый и продолжительный кашель является причиной травмы из-за длительного давления на грудную клетку.
Если у больного трещина в ребре, симптомы в большинстве случаев будут проявляться сразу.
Симптомы
Симптомы при наличии травмы ребра зависят от ее тяжести. Они могут быть такими:
- Боль в груди: в поврежденной области ощущается легкая или сильная боль. Боль может присутствовать при кашле, чихании или смехе.
- Проблемы с дыханием: больному тяжело дышать, так как из-за повреждения могут быть затронуты легкие. Это может привести к головокружению, усталости и головной боли.
- Боль при дыхании. Больной испытывает боль при дыхании из-за деформаций грудной клетки.
- В пораженной области могут быть синяки и кровоподтеки.
- Травма кровеносных сосудов: если верхнее ребро сильно повреждено, это может повредить аорту, которая является главной артерией человеческого тела, что может непосредственно повлиять на функционирование сердца.
- Пневмоторакс: сломанное ребро может проколоть стенку грудной клетки, изменить в ней давление.
- Разрыв селезенки: функция селезенки заключается в фильтрации крови. Повреждение ребра может привести к разрыву селезенки, что может стать причиной сильного внутреннего кровотечения.

https://youtube.com/watch?v=zkYPeDFnQvY
Возможные осложнения
Множественные переломы, смещения, а также травмы, оставленные без должного внимания, могут спровоцировать развитие ряда серьезных осложнений. Ввиду этого необходимо как можно скорее обратиться за помощью в медицинское учреждение. В некоторых случаях цена потерянного времени – летальный исход.
Переломы ребер могут сопровождаться такими осложнениями:
- Пневмония. Возникает из-за образования застоя мокроты и развития воспалительного процесса в легких. Также ее называют посттравматическим воспалением легких.
- Пневмоторакс. Происходит скопление легких в участке между передним и задним листком плевры. В итоге легкое сжимается и не может больше участвовать в дыхательном процессе.
- Гемоторакс. Представляет собой скопление крови в области повреждения, затрагивая плевральные листки.
- Плевропульмональный шок. Проникновение воздуха между плевральными листками, провоцирующее нарушение дыхания.
- Подкожная эмфизема. Скопление воздуха образуется в слоях подкожной клетчатки, что проявляется характерной крепитацией при прощупывании проблемной области. Звук напоминает скрип или хруст снега.
- Дыхательная недостаточность. Из-за шокового состояния, создания препятствий для совершения полноценных дыхательных движений, спада альвеолярной активности легких и сильной боли, пострадавший может подвергнуться риску полной непроизвольной остановки дыхания.
Некоторые осложнения квалифицированный врач может обнаружить даже без применения специальных диагностических методик.
Психологический фактор
Помимо физических проявлений травмы, не стоит исключать и воздействие на психику пострадавшего. Иногда эмоциональное потрясение оказывается гораздо более сильным, нежели полученные повреждения.
К тому же ввиду схожести симптомов, трещина может быть воспринята, как серьезный перелом и привести к нервному срыву и даже (у особо чувствительных личностей) к шоку. Для предотвращения таких неприятностей, инструкция по оказанию первой помощи включает приемы для успокоения пострадавшего и нормализации его психоэмоционального состояния.
Основная проблема заключается в страхе перед смертью и шоковом состоянии после получения травмы. Иногда шок блокирует ощущения боли и человек может начать активно двигаться, что приводит к усугублению повреждений и может быть опасно для его жизни. С другой же стороны, человек может повергнуться в ступор, что является своеобразной реакцией на экстремальные условия.
Боль, вызывающая нарушение дыхания, а также сбои сердечного ритма нередко становятся для пострадавшего сигналом о приближающейся кончине. Это может спровоцировать панику, создающую реальную угрозу, хотя на самом деле повода опасаться за свою жизнь нет.
Диагностика
Первичный этап диагностики — осмотр. Во время осмотра для определения характера полученной травмы врач может аккуратно надавливать на ребра больного, прослушать легкие, а также проследить за движением грудной клетки.
Для выяснения точного диагноза могут быть назначены такие виды обследований:
- Рентгеновская диагностика. Используя низкочастотные излучения, рентген делает видимыми кости, но распознавание трещин костей может быть затруднено. Рентгеновские лучи также полезны при диагностировании повреждений легких.
- Компьютерная томография. Она выявляет травмы, которые могут пропустить рентгеновские лучи. При КТ-сканировании легче увидеть повреждения мягких тканей и кровеносных сосудов. Эта технология использует рентгеновские лучи разных ракурсов и объединяет их, чтобы отобразить поперечные срезы внутренних структур человеческого тела.
- МРТ. Этот метод можно использовать, чтобы проверить мягкие ткани и органы на предмет наличия повреждений. МРТ действенна для обнаружения небольших надломов и трещин ребер. При МРТ для создания изображений используются мощные магниты и радиоволны.
- Костное сканирование. Этот метод хорош для диагностики стрессовых переломов, когда трещина ребра или перелом возникает, например, в результате длительных приступов сильного кашля. Во время сканирования в кровь вводится небольшое количество радиоактивного материала. Он концентрируется в травмированных местах кости и обнаруживается сканером.
Причины трещин ребер
Отчего возникает трещина ребра? Существует две основные причины появления этого заболевания:
— травматический неполный перелом ребра – подавляющее большинство трещин ребер возникает из-за прямого непосредственного травматического воздействия на область грудной клетки. Травма, которая к перелому ребер может быть самая разнообразная. Чаще всего это прямой удар по грудной клетки, дорожно-транспортные происшествия, падения с высоты, открытие повреждения грудной клетки (ранения) и прочие.
— патологический неполный перелом ребер – при этом виде трещин, травма грудной клетки, как правило, отсутствует, либо она настолько несущественна, что о факте ее наличия больной может ничего не вспомнить. Патологический перелом ребер возникает тогда, когда имеется поражение косной части ребра каким-либо патологическим процессом. Так нарушение прочности ребра возникает при опухолевых процессах в области грудной клетки, при хроническом остеомиелите ребер (хроническое воспаление костной ткани ребра), при туберкулезе ребер, остеопорозе (состояние, при котором из костной ткани вымываются соли кальция), заболеваниях крови (миеломная болезнь) и многих других. Ребра, теряя свою прочность, становятся как будто стеклянными и могут ломаться даже при незначительных микротравмах.
Вероятность получения трещины ребра зависит в первую очередь от силы травмирующего фактора. Однако немаловажное значение играют возраст и развитие мышечной массы человека. В целом трещина ребра у детей из-за эластичности грудной клетки и ребер в частности возникает гораздо реже. У детей, как правило, бывают поднадкостичные переломы по типу «зеленой ветки». Развитие мышечной массы также играет немаловажную роль в возникновении перелома ребра. У крепко сложенных мужчин мышцы грудной клетки играют роль своего рода амортизатора, значительно смягчающего силу удара.
Как лечить трещину в ребре
Трещины могут подлежать лечению в домашних условиях. Для этого нужно соблюдать простые правила:
- Ограничить активность, на время прекратить занятия спортом, чтобы не спровоцировать дополнительные повреждения.
- Не надевать плотную обтягивающую одежду, оказывающую давление на грудную клетку.
- Поместить лед на место повреждения. Для этой цели можно использовать пакет со льдом или замороженные продукты. Терапия холодом подходит при любых видах травм ребер и при любой костно-мышечной травме. Пакет со льдом нужно обернуть тонкой тканью, чтобы не привести к обморожению кожи.
- Принимать обезболивающие лекарства. Лекарственные препараты, например Ибупрофен, Напроксен или Аспирин, помогают бороться с болью и воспалениями, сопутствующими травмам ребер. Они не ускоряют выздоровление, но могут унять боль и сделать процесс восстановления более комфортным.
- Избегать лишних движений. Нужно свести к минимуму вращения, скручивания и сгибания туловища. Если у больного сильный кашель, то ему необходимо во время приступов держать у груди мягкую подушку, чтобы смягчить нагрузку и свести к минимуму болевые ощущения.
- Нормализовать рацион и принимать пищевые добавки и витамины. Сбалансированная диета, богатая витаминами и минералами, поможет ускорить выздоровление. Необходимо добавить в рацион пищу, содержащую кальций, магний, фосфор, витамин D и витамин К. Нужно употреблять в пищу свежие овощи, цельное зерно, постное мясо, молочные продукты и много очищенной воды. Также важно отказаться от алкоголя, фастфуда и рафинированного сахара.
- Адаптировать свое положение во время сна. Во избежание проблем с заживлением и возникновения болевых ощущений лучше всего спать на спине. Это особенно важно в первые несколько дней после травмы.
Симптоматика
Травма имеет следующие признаки:
- боли, становящиеся сильнее во время движения и глубокого дыхания;
- нарушение дыхательной функции;
- кашель;
- одышка;
- дискомфорт в области груди по ночам.
Трещины в ребрах могут сопровождаться также головными болями. На наличие неполного перелома обычно указывает дискомфорт в грудине, длящийся на протяжении 5 дней. Симптомы трещины в грудной клетке также дополняются поверхностным дыханием, возникновением удушья и чувства паники. Человек не в состоянии делать глубокие вдохи, у него постоянно отмечается усталость.
Часто возникает накол ребра: он сопровождается появлением гематом, ткани вокруг ребра отекают и возникает заметная припухлость.
Как заживает
Чаще всего треснувшие ребра не приводят к тяжелым осложнениям со здоровьем. Сколько заживает трещина, зависит от особенностей травмы, но в большинстве случаев на это требуется до 6 недель. Костные заболевания могут немного увеличить этот срок.
Возвращение к нормальной жизнедеятельности и к работе может быть уже на 2-3 неделе после повреждения и начала лечебных процедур. На протяжении всего периода восстановления нужно соблюдать ограничения в активности и диету.
Хотя трещина ребра не требует интенсивного лечения и заживает нормально, нелишним будет периодически наблюдаться у врача.
Диагностические мероприятия
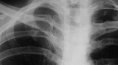
Чтобы определить трещину в ребре, необходимо провести рентгенологическое исследование. На основании снимка специалист выявляет место, где локализуется повреждение. По рентгенологическому фото врач также получает информацию о характере травмы.
При поступлении пациента с подозрением на неполный перелом ребра специалистом проводится его визуальный осмотр.
Фото снимка при переломе ребер:
Узнайте, как лечить синдром скользящего ребра.
Профилактика травмы
Уменьшить возможность возникновения трещин костей позволят такие методы профилактики:
- Использование защитного снаряжения во время занятий спортом. В отдельных видах спорта, например в американском футболе и хоккее, используется специальная экипировка, позволяющая защитить организм спортсмена от повреждений.
- Уменьшение риска падений в бытовых условиях. Нужно убрать беспорядок на полу, использовать резиновую циновку в душе, поставить противоскользящую защиту на коврики.
- Укреплять кости. Наличие достаточного количества кальция и витамина D в рационе важно для поддержания крепости костей. Ежедневно человеку достаточно употреблять вместе с продуктами питания 1200 мг кальция и 600 МЕ витамина D.
- Занятие дыхательной гимнастикой. Это поможет укрепить межреберные мышцы.
Трещина ребра — достаточно неприятное повреждение, поэтому желательно заранее минимизировать риски его получения.
Первая помощь
Трещина может быть спутана с ушибом или переломом. В любом случае больному требуется госпитализация и проведение диагностики. Однако перед приездом скорой пострадавшему следует оказать первую помощь. Существует целый комплекс мер, определяющий, что делать, если сломано ребро или трещина в нем:
- Приложить лед к месту травмы.
- Обеспечить человеку приток свежего воздуха.
- Дать обезболивающий препарат (это может быть «Анальгин» или «Ибупрофен»).
- Туго обвязать больному грудную клетку по всему ее периметру. Повязка должна накладываться только на выдохе. В качестве материала может использоваться бинт или шарф.
- Обеспечить человеку покой, не позволять ему делать резкие движения.
Питание
Для максимально быстрого сращивания костей необходимо придерживаться правильного питания, а также соблюдать питьевой режим. Ежедневный рацион должен быть сбалансирован.
Рекомендуется употребление следующих продуктов:
- Творог.
- Мед.
- Рыбий жир.
- Мясо морских и речных рыб.
- Бульоны.
- Фрукты.
- Овощи.
- Грибы.
- Бобовые.
- Мясо куриное.
- Заливные блюда.
- Сметана.
Необходимо исключить следующие продукты:
- маринованные продукты;
- алкоголь;
- кофе;
- сладости;
- соли.
А также существуют народные рецепты, которые легко можно приготовить дома. Настои и отвары из лекарственных трав применяются внутрь, и в качестве компрессов.
Наиболее распространенные рецепты:
- 12 грамм золотарника обыкновенного залить 350 мл кипятка. Настоять 3 часа. Готовый настой применяется в виде компресса. Смочить марлевую салфетку и приложить на травмированное место. Затем, наложить теплую повязку. Длительность – 40 минут.
- 15 грамм живокоста залить 250 мл воды, довести до кипения. Принимать внутрь по 2 столовых ложки перед приемом пищи.
- 12 грамм коры граната. Кора граната заливается 300 мл кипятка. Настоять не менее двух часов. Используется в качестве компресса. Длительность – 30 минут.
Лечение переломов ребер в домашних условиях вполне реально. При выполнении всех лечебных мероприятий, восстановление организма составляет 1-1,5 месяца.
Механизм возникновения перелома
Основные свойства костной ткани: прочность и упругость. Главной причиной появления переломов ребер является травмирующее воздействие, оказанное на костные структуры грудного отдела, которое превышает прочностные характеристики кости и приводит к нарушению целостности ребра. В группе риска находятся люди старшей возрастной группы, это обусловлено снижением эластичности костной ткани.
Согласно статистических данных на долю переломов ребер приходится около 14% от общего числа повреждений кости. Наиболее часто переломы встречаются на боковых поверхностях костного каркаса верхней части туловища. Повреждения могут быть множественными (нескольких ребер) или одиночными (одного или двух ребер).
Основная опасность переломов костного каркаса связана с вероятным повреждением регионарных органов, затруднением дыхания, возникновением опасных вторичных осложнений. Травмы без осложнений регистрируются в 35% случаев. Остальные 65% считаются тяжелыми переломами, которые сопровождаются травматическими повреждениями легких, плевральной полости и органов сердечно-сосудистой системы.
Лечение в стационаре
Что делать если сломал ребро, и к какому врачу обратиться? Лечением травм занимаются врачи – травматологи. При множественных и осложненных переломах может понадобиться стационарное лечение. Например, если наблюдаются переломы 10 ребер лечение, проводится только в стационаре. Длительное лечение перелома ребра может понадобиться при диагностировании осложнений, а также при серьезном затруднении дыхания.
Процедуры, проводимые в стационаре:
- вагосимпатическая блокада – применяется при терапии плевропульмонального шока;
- обезболивание;
- физиотерапия;
- пункция плевральной полости – актуальна при скоплении крови между листками серозной оболочки;
- дренирования плевральной полости – установка дренажа, который способствует выводу патологического содержимого.
При сложных переломах ребер длительность лечения зависит от тяжести осложнений и общего самочувствия больного.
Лечебная физкультура
В основе скорейшего срастания ребер лежит выполнение лечебных упражнений. Занятия целесообразнее начинать, когда боль при движениях прекратится. Упражнения необходимо выполнять ежедневно.
Рекомендуемый комплекс упражнений, который проводится в домашних условиях:
- Занять положение, сидя на стуле. Поднять руки над головой и зафиксировать это положение на 1-3 секунды. Затем медленно опустить руки. Выполнить пять повторений.
- Исходное положение – сидя на стуле. Поднять плечи и зафиксировать положение на 5 секунд. Затем медленно опустить плечи. Выполнить пять повторений.
- Выполнять упражнение необходимо стоя. Поднять руки вверх, медленно потянуться вверх. Выполнить 3-4 раза.
Количество повторений необходимо увеличивать постепенно до 10 раз. В дальнейшем можно увеличивать число подходов и доводить до 4–5. А также необходимо выполнять упражнения, направленные на тренировку дыхания. Дыхательная гимнастика предотвращает возможное кислородное голодание и оказывает благоприятное воздействие на весь организм.
Комплекс упражнений:
- Занять удобное положение. Произвести глубокий подконтрольный вдох. Задержать дыхание на 5 секунд. Медленно выдохнуть.
- Исходное положение — сидя. Опустить кисти на колени. Равномерно производить вдох и выдох в течение 10-15 минут.
Комплекс лфк и дыхательные упражнения необходимо подбирать в зависимости от тяжести травмы.
От чего возникает и виды травмы
Перед лечением необходимо определить вид травматического повреждения, так как каждый тип имеет свою отличительную симптоматическую картину и особенности терапии. Классификация переломов ребер:
открытый тип перелома (мягких тканей, кожи).
поднадкостная травма (травмируется костная ткань);
двусторонний (разлом кости с двух сторон).
множественные переломы ребер.
без сопутствующего смещения.
Чаще других диагностируют травму 5, 6, 7 и 8 ребер. Редко травмированию подвергаются ребра от 9 до 12, что объясняется их максимальной подвижностью и пластичностью. Для своевременной диагностики наибольшую сложность представляет слом ребра в задней его части. В силу минимальной подвижности задних частей реберной кости при дыхании, симптоматическая картина не специфическая, слабо выраженная.
Терапия
Лечение трещины в ребре производится с учетом сопутствующих симптомов. После поступления пациента в больницу и постановки диагноза ему назначаются обезболивающие препараты. Само лечение происходит в домашних условиях под контролем специалиста.
В первый день лечения пациенту на болезненные участки прикладываются компрессы на основе льда максимум на 20 минут. Перерыв между наложением компрессов должен составлять не менее 40 минут.
Лечение подобных травм предусмотрено на протяжении от трех до семи недель. В первые сутки больным принимаются противовоспалительные препараты. В первую неделю пациенту показано бинтование: повязка должна быть тугой, это необходимо для снижения амплитуды движения костей.
На протяжении всего лечения пациент должен минимизировать любую физическую нагрузку и соблюдать постельный режим. Сколько заживает повреждение, зависит от его тяжести. На само заживление уходит от двух до трех недель, на полное восстановление костей дополнительно требуется до одного месяца.
Медикаменты
Для снижения болевого синдрома больной может принимать «Нурофен«, использовать специальные мази («Вольтарен»). При сильных болях показаны инъекции на основе новокаина. Из противовоспалительных средств также назначается «Нимесил». В ходе реабилитации больному могут прописываться ректальные свечи «Диклофенак».
Народные средства
Что делать, если трещина в ребре не устраняется длительное время? В комплексе с медицинскими препаратами больному могут быть назначены народные средства. Вот некоторые рецепты:
- Мазь на основе еловой смолы, оливкового масла и лука. Берется 20 г смолы, 40 г масла и небольшая луковица, которую необходимо измельчить до состояния каши. Смола должна растопиться на огне, после чего в нее добавляется масло с луковой кашицей. Смесь не кипятится, а остужается. Мазь требуется поместить в холодильник и использовать ее на протяжении всей терапии дважды в сутки.
- Мазь из окопника и свиного сала. Корень окопника мелко измельчается и добавляется в растопленное сало. Смесь не кипятится, а остужается. Мазь помещается в холодильник. Ее используют дважды в сутки.
- Компресс из герани. Для него берутся и листья, и цветки растения. Достаточно двух столовых ложек, которые заливаются литром кипятка. Смесь кипятится на слабом огне порядка 5 минут, после чего остужается. Отвар фильтруется. Компресс используется несколько раз в сутки.
Что делать при переломе ребер?
Учитывая распространенность данной травмы, каждому необходимо знать, что рекомендуется делать при травмировании. В определенных ситуациях, при развитии таких последствий, как пневмоторакс, потерпевшего запрещено двигать, так как это способствует увеличению объема воздуха в легочной плевре.
От своевременной и правильно оказанной доврачебной помощи нередко зависит жизнь человека. Если пострадавший сломал реберную кость, рекомендуется выполнить следующие действия:
- Усадить пострадавшего с опорой под спиной. Высвободить грудную клетку от одежды и других предметов, оказывающих давление, усложняя, тем самым, дыхание.
- Вынести потерпевшего на свежий воздух или обеспечить хорошее проветривание помещения.
- При чрезмерно выраженной болевой симптоматике необходимо приложить к поврежденному месту лед или же какой-либо холодный предмет. Терпеть боль нельзя, ведь это приводит к сбою в дыхании. Чтобы облегчить состояние пострадавшему дают препарат с обезболивающим действием — Ибупрофен, Диклофенак, Парацетамол.
- Иммобилизовать грудную клетку бандажом. Закрывать ребра можно куском ткани, плотно перетянув грудную клетку, но не сильно сдавливать, чтобы повязка не мешала дышать.
Если меры первой помощи помогли стабилизовать состояние пациента, то доставить в больничное учреждение его можно самостоятельно.
Немедленно рекомендуется вызывать скорую помощь в следующих случаях:
- нарушение дыхания, пациент при этом дышит тяжело, прерывисто, слышны шумы;
- кожа становится очень бледной, синеют губы и конечности;
- из ротовой полости выделяется пена с примесями крови;
- открытая форма перелома;
- обморочное состояние с потерей сознания.





