Переломом – это нарушение целостности кости скелета под воздействием силы, превышающей предел сопротивляемости рассматриваемой кости. Переломы всех видов в мире заболеваний находятся на третьем месте.
Довольно часто в практике врачей-травматологов можно встретить перелом большого пальца ноги. Согласно статистике, такие травмы наблюдаются в 3–5% всех переломов и составляют треть переломов свободных нижних конечностей.
Каковы причины травматизма пальцев ног?
Согласно причине перелома, их можно подразделить на две небольшие группы. К первой группе относятся травматические, случающиеся на здоровой кости. А ко второй же группе относятся так называемые патологические переломы, развивающиеся на кости, которая ослаблена остеопорозом, туберкулезом или метастазами раковой опухоли. Согласно данным статистики, примерно 95 % переломов — это травмы, а остальные 5 % — переломы, имеющие патологическое происхождение.
Выделяют много классификаций переломов, но значение клинического характера приобретают лишь единичные.


Причины
Перелом первого пальца стопы возникает при воздействии на него силы, которая превышает прочность костной ткани. Кости наиболее уязвимы в детском и пожилом возрасте. У детей скелет находится в периоде активного роста, вследствие этого кости не обладают достаточной прочностью. Костная ткань пожилых людей в силу возрастных изменений содержит недостаточное количество кальция, что придает костям хрупкость и повышает риск развития переломов.
Травмы большого пальца стопы возникают:
- при ударе пальцем о твердую поверхность (мебель, дверь, стена);
- при компрессии пальца (профессиональные, спортивные травмы);
- при падении на стопу тяжелого предмета;
- при ударе по пальцу тупым тяжелым предметом;
- подворачивание ноги;
- чрезмерное разгибание стопы.
В большинстве случаев диагностируют травматические переломы, которые возникают при воздействии травмирующего фактора на здоровую кость. Гораздо реже встречаются патологические переломы. Они возникают при влиянии травмирующего агента слабой силы на измененную патологическим процессом костную ткань. Такие травмы появляются при остеопорозе, туберкулезе, остеомиелите, опухолях костей.
Используемые источники:
Открытые и закрытые переломы
Согласно разделению переломов большого пальца ноги по наличию поврежденных покровов кожи отломками костей, можно выделить: перелом открытый и перелом закрытый.
В связи с достаточно высокой подвижностью и гибкостью пальцев большое количество травм образовывает закрытые переломы. В данном случае этот вид перелома хорошо поддается лечению, так как при переломах закрытого характера прибегать к хирургическому вмешательству приходится не так часто, и, соответственно, имеется возможность избежать дополнительных рисков, связанных с переломом.
Если болит палец на ноге, то может говорить о переломе.
Признаки недуга
Закрытый перелом ноги
Перелом кости – это нарушение структуры костной ткани, виды бывают следующие:
- закрытый, без повреждения мягких тканей;
- открытый, при котором повреждаются ткани и есть опасность повредить сосуды с дальнейшим развитием кровотечения;
- со смещением;
- без смещения.
Часто закрытая травма без смещения принимается за сильный ушиб. Наверняка распознать перелом или ушиб сможет только врач, но заподозрить нарушение целостности кости вам помогут определенные признаки.
Первый симптом – боль. Она зачастую достаточно резкая и выраженная в момент получения травмы. Даже ушиб иногда сопровождается нестерпимой болью, при надломе кости болезненный синдром не утихает даже при нахождении ноги в состоянии покоя, и через несколько часов ощущения остаются прежними.
Отек и кровоподтек (синяк, гематома) – обе этих черты характерны для ушиба и перелома, однако скорость нарастания и выраженность данных симптомов могут быть разными. При ушибе отек менее выражен и нарастает медленнее. Если же случилось нарушение целостности кости, зачастую ткани отекают достаточно быстро. Кровоподтек при переломе может развиваться в течение нескольких дней, а при ушибе синяка может не быть вовсе.
Усиление болевого синдрома отмечается при движении поврежденной конечности. Если была повреждена кость, опереться на поврежденную ногу практически невозможно. Если сломана одна из рядом стоящих костей, то в некоторых случаях на ногу возможно встать.
Смещение отломков распознать в силах и простой человек. Конечность деформирована в том месте, где отмечается смещение. Конечность бывает:
- укорочена;
- удлинена;
- смещена.
При смещении оси визуально видно «кривую» ногу, неестественно деформированную.
Для перелома ноги характерен признак «прилипшей пятки». Человек в положении лежа сам не способен поднять ногу. Даже при сильном старании оторвать от поверхности ногу невозможно.
В момент травмы некоторые ощущают явный хрустящий звук, при пальпации ноги ощущается трение отломков костей (крепитация костей). Этот признак характерен только при отсутствии ущемления мягких тканей между отломками. Патологическая подвижность – симптом достоверно определяющий. Только при повреждении кости конечность двигается вне сустава, для ушиба такой симптом не характерен. Однако стоит помнить, что самостоятельно проводить проверку симптомов нельзя. Правильно это может сделать только врач.
При открытой травме конечностей самостоятельно поставить диагноз нетрудно, видно торчащую из ноги кость.
По каким симптомам определить перелом большого пальца ноги?
Определив наличие перелома, можно сказать, что вв выполнили самый важный этап по оказанию первой медицинской помощи, который присутствует в учебной программе многих общепрофильных и специализированных учебных заведений. Присутствие знания и способности применить на практике умения распознать перелом часто может помочь избежать тяжелых осложнений, связанных с непрофессиональными действиями оказания первичной помощи, если болит палец на ноге.
К симптомам, определяющим перелом пальца, относятся те же, как и при переломах других локализаций. Чтобы точнее определить наличие такой травмы, симптомы подразделяют на две категории – достоверные и вероятные. К вероятным относятся: болезненность в месте перелома; наличия покраснения на возможном месте перелома; отечность мягких тканей; неестественное положение пальца; возникновение острой боли в месте перелома; повышение температуры тканей в месте перелома; невозможность произвольно двигать пальцем. Убедиться в правильности диагноза поможет рентген стопы.
К достоверным признакам перелома относятся: наблюдается костный дефект при ощупывании кости; патологическая подвижность кости; заметная деформация кости; может наблюдаться укорачивание сломанного пальца; крепитация костных отломков.
Процедуры реабилитации
После перелома пальца и длительной иммобилизации в гипсе, ступня не может сразу же в полном объеме выполнять все функции. Дело в том, что мышцы из-за бездействия становятся менее эластичными, суставы также не могут двигаться как прежде. Необходимо несколько дней, чтобы стопа стала выглядеть, как и раньше.
Процедуры, которые способствуют скорейшему выздоровлению, следующие:
- Физиотерапия – электрофорез, магнитотерапия, озокерит и т. д.
- Массаж – приводит мышцы в тонус и разрабатывает суставы. Осуществлять его можно и в домашних условиях, если есть соответствующие навыки.
- Лечебная физкультура.
Как долго будет зарастать перелом – зависит от многих определяющих факторов.
Признаки, определяющие перелом пальца
Часто травма пальца ноги протекает без выраженной клиники, особенно при переломе, не повлекшем за собой смещение или небольшую трещину. В данной ситуации пациент зачастую не обращает внимания на это. Кроме того, больные просто не хотят обращаться к врачу и проводить исследования, чтобы установить точный диагноз.
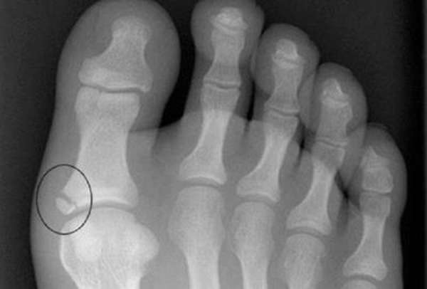
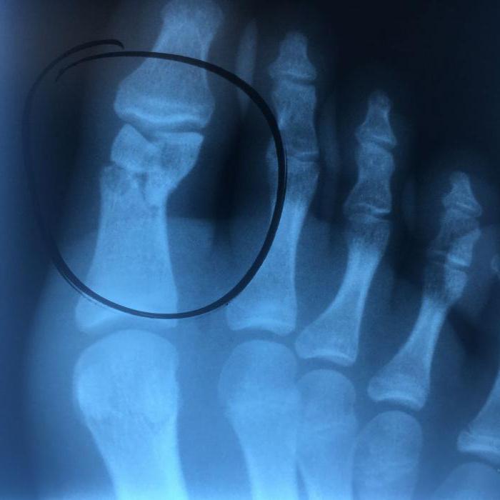
Важное значение в диагностировании переломов большого пальца ноги отдается рентгенографии ступни в одной — двух проекциях. Благодаря данному параклиническому исследованию с точностью до 95-99 % можно распознать, имеется ли травма пальца ноги, определяя с точностью до миллиметра место перелома и местоположение костных отломков.
Методы диагностики
Визуального осмотра поврежденной области недостаточно в любой ситуации. Если внешние проявления и болевые ощущения незначительны, человек просто не догадывается о степени тяжести полученной травмы пальца. Отсутствие должного внимания к проблеме ведет к некорректному срастанию сломанных костей. Это приводит к дополнительным осложнениям.
Необходимо обратиться к травматологу. Он произведет визуальный осмотр и бережную пальпацию поврежденной области. Уточнив обстоятельства получения травмы, он сделает предварительные выводы.
Далее пациента направляют на рентген для получения снимка. Рентгенография необходима в нескольких проекциях. На основании снимков и предварительного обследования пациента врач делает окончательные выводы относительно характера и степени тяжести травмы.
Делать рентген придется и в дальнейшем – для контроля динамики в процессе лечения. Важно следовать рекомендациям врача и не прерывать заботу о сломанном пальце, как только внешние признаки и болевые ощущения станут менее заметными.
Недолеченные переломы, закрытые и открытые, ведут к серьезным последствиям для здоровья. Финальный рентгеновский снимок продемонстрирует полное срастание костей. На этом этапе диагностика и лечение считаются завершенными.
Первая помощь
Первая помощь при получении данной травмы крайне необходима. Во-первых, чтобы выполнить обезболивание, так как оно уменьшит неприятные ощущения, появившиеся при травме, и позволит произвести дальнейшие действия с пальцем. Во-вторых, необходимо произвести дезинфекцию раны, если она имеется. В- третьих, осуществить иммобилизацию перелома.
При переломе рекомендуется все же как можно скорее обратиться в скорую помощь.
В каких случаях накладывают гипс на большой палец ноги?
Лечение перелома пальца
Способы лечения переломов пальцев ноги не кардинально отличаются от способов лечения переломов пальцев руки, в связи со схожестью их анатомического строения. В зависимости от того, какого вида перелом, и имеются ли сопутствующие осложнения, используют определенный вид лечения. В настоящее время выделяют три подхода к лечению данной травмы: одномоментная закрытая репозиция; скелетное вытяжение; открытая репозиция. Охарактеризуем каждый из них.
Одномоментная закрытая репозиция применяется при переломе пальцев ног закрытого типа, сопровождающихся смещением костных отломков. Суть метода — обезболивание места перелома и последующее плавное вытягивание пальца с одновременным становлением костных отломков в их физиологическое положение.
Контролирует это рентген стопы.
Скелетное вытяжение применяют при несостоятельности одномоментной репозиции или, иначе говоря, в случае, когда совмещенные костные отломки не могут удержаться в правильном положении после многочисленных попыток их закрытого вправления. Суть метода — поддерживать дистальный отломок в положении оттягивания, чтобы снизилось давление на поврежденную фалангу, а также предотвращение повторного расхождения отломков.
Открытая репозиция — является целостной операцией, при которой происходит процесс соединения частей кости и восстанавливается правильная ее форма. Суть метода – использование его при всевозможных переломах открытого типа, многооскольчатых переломах закрытого типа и возникших осложнениях после предыдущих способов репозиции.
Лечение перелома большого пальца ноги должно быть своевременным.
Со смещением и без него
Также выделяют переломы, имеющие смещение, и переломы без смещения. Наименьшую сложность вызывают переломы без смещения костных отломков, так как они не требуют становления отломков в их физиологически правильное положение. Переломом со смещенными отломками считают открытый перелом, исходя из того, что без смещения исключено образование заостренных костных краев, разрывающих кожные покровы.
- Перелом ногтевой фаланги большого пальца ноги: сколько заживает и нужен ли гипс
Могут ли возникнуть осложнения?
Множество пациентов, перенесших подобную травму, не особо часто обращаются за помощью к медикам, так как не считают перелом пальца значительной травмой, и тем самым отодвигают момент успешного заживления раны. Нередко оно проходит без особых проблем, но иногда появляются осложнения, приносящие больному большие неудобства и переживания, больше, чем сам перелом. Самые распространенные из них, встречающиеся при данном виде травмы, это: ложный сустав; неправильное сращение; остеомиелит; большая костная мозоль; анкилоз; гангрена и др. Охарактеризуем каждый вид более подробно.
Ложный сустав
Ложный сустав характерен для нелеченного перелома пальца, когда смещаются костные отломки. Если перелом не вправлен в течение начального периода времени, то каналы костных отломков обычно закрываются. Края костей в результате непрерывного трения друг о друга начинают стираться и округляться. В итоге спустя некоторый промежуток времени вместо одной сплошной кости начинают образовываться две, которые не соединены между собой. Помимо этого, непрерывное соприкосновение костей, образующих ложный сустав, не влечет за собой образования хряща, который снижает трение, и в итоге ложный сустав находится в непрерывном воспалении, перерастающем в хроническое и сопровождающееся периодическими обострениями.
Профилактика
Чтобы предупредить образование переломов, человек должен вести себя осторожно в тех ситуациях, когда возрастает риск возникновения травматических повреждений, например, во время спортивных тренировок или состязаний. Также следует избегать ношения тесной или неудобной обуви, поскольку находясь в ней человек с большей вероятностью получит перелом пальца или какое-либо другое повреждение стопы.
Тюльпа В.В., врач, медицинский обозреватель
14, всего, сегодня
(161 голос., средний: 4,69 из 5)
-
Артрит височно-нижнечелюстного сустава: симптомы и лечение
-
Оскольчатый перелом локтевой кости: причины и лечение
Похожие записи
Анкилоз
Анкилоз довольно часто возникает как раз-таки при переломе пальцев ног. Объясняется это с тем, что фаланга пальца имеет маленькую длину и образует три сустава на небольшой части тела, такой как палец. Таким образом, можно предположить, что при наличии перелома пальца ноги будут затронуты не одна кость и не один сустав. Когда суставы воспаляются, они затвердевают и, в итоге, происходит окостенение. В окончании данного процесса вместо двух или трех костей, расположенных по соседству, начинает образовываться одна сплошная кость, имеющая массивные костные мозоли. Исходя из этого, степень подвижности конечностей снижается из-за уменьшения количества функционирующих суставов. К сожалению, в настоящее время эффективное лечение этого вида осложнения отсутствует.
Итак, если посинел палец на ноге, нужно незамедлительно обращаться к врачу.
Неправильное сращение кости встречается при отсутствии необходимого лечения при переломе любого характера, имеющего смещение. Неправильное месторасположение костных отломков или его отсутствие во время сращивания кости может привести к неправильному заживлению. В результате может образоваться большая костная мозоль, патологическое искривление кости, и она укорачивается. В итоге происходит нарушение ее опорной функции. И существует вероятность, что при любом давлении кость, скорее всего, снова сломается.
При травме большого пальца ноги могут быть и другие осложнения.
Особенности детского травматизма
Костные ткани детского организма содержат большее количество оссеина, оболочка костей хорошо снабжается кровью, присутствуют зоны роста и толстая надкостница. Все это способствует специфичности травматизма пальцев у ребенка. Данное состояние характеризуется наличием следующих особенностей:
- перелом напоминает вид зеленой веточки;
- практически не наблюдается смещение отломков;
- излом происходит с одной стороны;
- если перелом наблюдается в зоне роста около сустава — это может приводить к осложнениям, в частности к искривлению пальцев или формированию укорочений;
- может наблюдаться и разрыв мышечных связок;
- происходит быстрое срастание кости за счет хорошего кровоснабжения надкостницы;
- у деток среднего и младшего возраста происходит самокоррекция при наличии возможных смещений.
Перелом может быть открытым и закрытым. Нужно учитывать, что при нарушении целостности кожи ребенок рискует занести себе инфекцию, а тогда это состояние может осложниться развитием столбняка или остеомиелита.
Остеомиелит
Остеомиелит — это воспаление костного мозга. Он бывает первичным гематогенным и вторичным травматическим. При первом происходит попадание патогенных бактерий в костномозговой канал путем переноса их кровью из другого существующего очага инфекции в теле. При другом типе остеомиелита данные бактерии могут попасть в кость в результате непосредственного контакта с грязными предметами. Таким образом, остеомиелит пальца ноги довольно часто может развиться исключительно при открытых переломах, когда не просто опух большой палец на ноге, а произошел разрыв кожных покровов.
Открытый перелом необходимо лечить правильно. Для этого важно тщательно провести обработку раны. Во время обработки раны антисептиками риск появления вторичного остеомиелита может быть снижен в несколько раз. И, конечно, отсутствие первоначальной обработки, в случае, когда больной не обращается в больницу, может создать предпосылки для того, чтобы заболеть остеомиелитом.
Гангрена
Гангрена – это отмирание определенного вида тканей человеческого организма. После получения перелома ногтевой фаланги большого пальца ноги гангрена может развиваться постепенно, начиная сразу после удара. Алгоритм ее развития следующий: резкое сдавление участка ткани и последующее его кислородное голодание, причиной которого является нарушение кровообращения поврежденного участка. У людей более молодого возраста, не прибегнувших к надлежащему лечению, гангрена чаще всего не граничит со здоровыми тканями и отделяется самостоятельно. Но если она попала в ткань, которая находится в стадии отмирания патогенных бактерий, начинается нагноение, что может привести к дальнейшему распространению воспаления на всю конечность. У людей пожилого возраста и у людей, болеющих сосудистыми заболеваниями, гангрена зачастую не отграничивается самостоятельно и постепенно прогрессирует. Если не оказать необходимого хирургического вмешательства, это может привести к увеличению отмершей ткани, и в результате к инвалидизации.
Реабилитационный период после перелома большого пальца ноги
Симптомы травмы мы рассмотрели.
Период восстановления после проведения операции зачастую зависит от уровня сложности полученного перелома, возраста больного, протекающих заболеваний и имеющихся гнойных осложнений.
Операция по репозиции костных отломков при переломе открытого типа, имеющего смещение, считается относительно несложной, таким образом, после нее достаточно короткий период восстановления — 3–4 надели. Если перелом многооскольчатый, то восстановительный срок в среднем может увеличиться на 2 недели.
Раны с гнойным осложнением подразумевают их повторное вскрытие и даже удаление отмерших тканей. В данном случае период выздоровления обычно увеличивается вдвое. Самые быстрый темп костной регенерации можно наблюдать у детей и подростков. Примерно с 40 лет каждый год темпы регенерации начинают снижаться, и так до старости.
Наложение гипса
Для полного и правильного восстановления структуры и функциональности пальца необходим полный покой.
Значение мобилизации при переломе:
- полное обездвиживание и обеспечение отдыха органу;
- ускорение процессов регенерации костной ткани;
- снижение нагрузки на палец;
- уменьшение риска сопутствующих травм.
Для фиксации пальца используют бинты, смоченные в гипсовом растворе. В процессе бинтования повязка принимает нужную форму, затем застывает, надежно фиксируя поврежденное место.
Сколько носить гипс зависит от вида перелома. Повязку не снимают до полного выздоровления, подтвержденного рентгенологическими снимками.
Недостаток гипса ─ потеря формы при намокании, быстрое охлаждение в зимнее время, что замедляет формирование костной мозоли. Поэтому в настоящее время все чаще используют специальные влагоустойчивые полимеры. Они более легкие и с низкой теплопроводимостью.
Для прочной фиксации ноги гипс накладывается не только на сам палец, но и на подошву стопы, 2/3 голени. Такая иммобилизация существенно ограничивает движение ноги, но она оправдана, так как помогает в короткие сроки достичь лечебного эффекта.
Гипсовую повязку (как на фото) не накладывают при трещинах, а также после хирургического вмешательства, когда перелом является осложнением (вторичной патологией). В этом случае гипс применяется после прогрессирования заживления ран мягких тканей.
Сколько срастается кость, зависит от нескольких факторов:
- вид и степень перелома (наличие многочисленных отломков, дробление, масштабы повреждения надкостницы);
- возраст пациента;
- состояние костной ткани, наличие хронических заболеваний со стороны эндокринной системы, нарушение обмена веществ.
В среднем при неосложненном переломе фаланга срастается за 20 дней (3 недели). При трещинах палец заживает в течение 14 дней. Полное восстановление работоспособности наступает через месяц. Перелом со смещением требует иммобилизации на протяжении 4-5 недель, функциональность нормализуется через 2-2,5 месяца. При открытых, компрессионных, многочисленных переломах с дроблением кости на мелкие части гипс носят 2 месяца, а полное восстановление возможно через 3 месяца при условии соблюдения всех рекомендация по реабилитации.
Восстановительному процессу могут помешать внутренние факторы. При остеомиелите (инфекционном воспалении костной ткани) сроки выздоровления замедляются. Такое состояние требует хирургического вмешательства и увеличивает процесс восстановления на 1-1,5 месяца.
Удвоить реабилитационный период может неправильное сращение фаланги с последующим повторным разрушением кости и репозицией.









