Перелом руки – наиболее часто встречающийся несчастный случай, который может произойти как в быту, так и на отдыхе, на природе. От этого события не застрахован никто, особенно дети. Поэтому очень важно каждому человеку знать основы оказания первой помощи при переломе рук, чтобы в чрезвычайной ситуации помочь себе и другим до обращения к врачу. Первая медицинская помощь при переломах рук – это ряд несложных действий, с которыми может справиться любой. Главное при этом, не растеряться и начать действовать немедленно.
Классификация травмы
Существует классификация, по которой определяют характер травмы, степень ее выраженности, особенности течения и другие нюансы. Переломы делятся на разновидности, с учетом всех нюансов, а именно, вида перелома, отношение к соседним костям или суставам, смещение или отсутствие смещение.
По количеству поврежденных костей отметить можно следующие:
- Множественные;
- Со смещением и без него;
- Оскольчатые;
- Одиночные;
- Вколоченные;
- С вывихом.
Также отношение смещенных отломков играет далеко не последнюю роль, их делать таким образом:
- Без смещения;
- Смещение в пределах линии перелома;
- Смещение, которое нарушает соседние кости.
По локализации переломы классифицируют следующим образом:
- Перелом костей предплечья;
- Перелом плечевой кости;
- Перелом фаланг кисти и пястных костей;
- Перелом запястья.
Каждая травма опасная по своему, и носит серьезный характер, требует лечения. Но, оно зависит непосредственно от локализации повреждения, а также его степени выраженности.
Данная классификация необходима врачу для того, чтобы подобрать соответствующее лечение, прописать нужные медикаменты для обезболивания, а также определить длительность ношения гипса и его расположение. Все зависит от индивидуальных особенностей организма, а также от наличия или отсутствия осложнений при получении травмы.
Средние сроки сращения переломов у взрослых
| сколько срастается перелом |
У взрослых процесс срастания костей длится дольше. Происходит это за счет того, что с возрастом надкостница становится тоньше, а кальций выводится из организма токсинами и вредными веществами. Заживление переломов верхних конечностей происходит медленно, но они представляют меньшую опасность для человека, чем повреждения нижних конечностей. Заживают они в следующие сроки:
- фаланги пальцев — 22 дня;
- кости запястья — 29 дней;
- лучевая кость — 29-36 дней;
- локтевая кость — 61-76 дней;
- кости предплечья — 70-85 дней;
- плечевая кость — 42-59 дней.
Сроки заживления переломов нижних конечностей:
- пяточная кость — 35-42 дня;
- плюсневая кость — 21-42 дня;
- лодыжка — 45-60 дней;
- надколенник — 30 дней;
- бедренная кость — 60-120 дней;
- кости таза — 30 дней.
У взрослых только на 15-23 день после повреждения появляются первичные очаги костной мозоли, они хорошо просматриваются на рентгене. Совместно с этим или на 2-3 дня раньше притупляются кончики отломков костей, а контуры их в области мозоли смазываются и тускнеют. На 2 месяц концы становятся гладкими и мозоль приобретает четкие очертания. В течение года она уплотняется и постепенно выравнивается по поверхности кости. Сама трещина исчезает лишь на 6-8 месяц после травмы.
Как долго будет продолжаться заживление, затрудняется ответить даже опытный врач-ортопед, ведь это индивидуальные показатели, зависящие от большого количества условий.
https://youtu.be/hqTHVs68MmY
Симптомы перелома руки
После перелома руки или любой другой части конечности возникает резкая боль и ограничение в движении. Но, болевые ощущения могут проявляться и при получении любой другой травмы, поэтому важно знать признаки перелома кисти и понимать, как определить перелом руки.
Среди симптомов перелома кисти руки выделяют следующие:
- Сильная боль при попытке пошевелить рукой, или поднять ее вверх;
- Нарушение движения в пораженном суставе, боль усиливается при попытке пошевелить конечностью;
- Появление головокружения, помутнение в глазах;
- Повышение температуры тела, а также температуры в пораженной конечности;
- Исчезает чувствительность в поврежденных участках, из-за нарушения нервных структур;
- Укорочение конечности, неестественное положение, видимая деформация;
- Возникновение отечности, кровоизлияния, припухлость и другие несвойственные процессы для обычного состояния конечности. Отек после перелома руки возникает чаще всего, рука увеличивается практически в 2 раза;
- Непривычное похрустывание в суставах при пальпации;
Это основные признаки перелома руки, иногда кожа сразу приобретает красный оттенок, буквально горит изнутри, ее температура тела повышается в несколько раз. Это вполне естественная реакция организма на болевой шок, в данном случае стоит срочно обратиться за медицинской помощью или вызвать врача, который позволит избавиться от заражения инфекцией, в случае открытого перелома руки. Именно открытый перелом руки является опасным и серьезным, потому что в данном случае деформируется не только кость, но и целостность ткани, что требует более длительного и серьезного лечения.
Скорость заживления переломов
Процесс срастания костей сложен и занимает продолжительное время. При закрытом переломе в одном месте конечности скорость заживления высока и составляет от 9 до 14 дней. Множественное повреждение заживает в среднем около 1 месяца. Самым опасным и долгим для восстановления считается открытый перелом, период заживления в таких случаях превышает 2 месяца. При смещении костей относительно друг друга еще больше увеличивается длительность процесса регенерации.
Причинами низкой скорости заживления могут стать неправильное лечение, избыточная нагрузка на сломанную конечность или недостаточный уровень кальция в организме.
Как оказать первую помощь?
Переломы бывают открытыми и закрытыми, и при каждом виде травмы предоставляется индивидуальная первая помощь потерпевшему. Рассмотрим вариант помощи при открытом переломе. В данном случае в первую очередь необходимо остановить кровотечение, а также дезинфицировать окружающие ткани, чтобы избежать возникновения серьезного заражения. Чтобы остановить кровотечение, нужно над местом повреждения наложить жгут, в роли которого выступает любой шарф, футболка, кусок ткани. Если кровь ярко-алого цвета, это говорит об артериальном кровотечении, которое стоит остановить незамедлительно, чтобы не ухудшить состояние больного.
После этого рана промывается перекисью водорода, разбавленным водой, это поможет избежать воспаления и заражения. По краям раны можно пройтись зеленкой или йодом, это позволит дополнительно обезопасить человека от прохождения инфекции в кровь.
Далее следует дать больному обезболивающий препарат, который еще и снимет шок, восстановит благоприятное самочувствие до приезда скорой помощи. Обезболивающими средствами могут быть любые доступные противовоспалительные препараты и анальгетики, обладающие быстрым воздействием.
Как только будут проведенные все мероприятия, стоит зафиксировать сломанную руку шиной и обратиться к специалисту. Если же есть возможность в первые десятки минут отвезти больного в больницу, данный вариант будет лучшим из всего вышеперечисленного.
Помимо открытых переломов, встречаются закрытые переломы, которые также имеют особенности предоставления первой помощи. С ними нужно подробно ознакомиться:
- При получении травмы нужно сразу же снять с руки все кольца, браслеты и другие украшения, потому что в случае появления резкой отечности можно столкнуться с некрозом тканей.
- Далее к травмированному участку прикладывается охлажденное средство в виде льда или холодной бутылки, обернутые в ткань.
- Далее нужно обеспечить кости неподвижность, для этого используется шина или любая повязка, позволяющая это сделать.
- Затем больной принимает обезболивающее средство и направляется в медицинское учреждение для осмотра, диагностики и накладывания гипса.
Каждый человек должен знать, что делать при переломе руки, чтобы в случае непредвиденного перелома помочь себе или окружающим людям. Именно от первой помощи зависит многое, она позволит избежать заражения, осложнения, инфекции и других неприятных ситуаций, с которыми можно столкнуться при получении перелома руки.
Диета при переломе
Время срастания перелома кости на руке может варьироваться от двух до трех недель, однако, точного ответа дать нельзя, поскольку множество факторов влияют на этот процесс. Чтобы ускорить восстановление костной ткани, следует придерживаться принципов правильного питания и принимать витамины, которые содержатся в продуктах, обогащенных кальцием.
Одним из основных является витамин D, достаточное количество которого содержится в обычном курином желтке. В цитрусовых, смородине и болгарском перце немало витамина С, что делает эти продукты чрезвычайно нужными для пациента, как таковых, что помогают ускорить процесс заживления после травмы. Его свойство способствовать выработке коллагена положительно влияет на процедуру излечения. Показано употреблять продукты, с высоким содержанием желатина, он есть в свиных и говяжьих хрящах, например.
Также можно принимать отвар шиповника, который способствует укреплению иммунитета пациента и ускорению восстановления костных тканей. Розовое масло и мумие помогут сократить период восстановления. Источником нужных солей считается морская капуста.
Диагностика
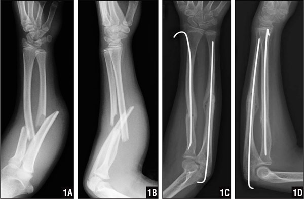
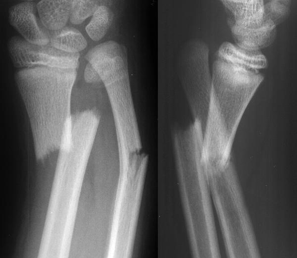
Закрытый перелом руки имеет много сходства с другими вариантами травмы, такими как сильных вывих, ушиб и другие. Именно поэтому, чтобы точно определить, что произошел перелом, врачи проводят нужную диагностику. Самым верным способом в данном случае будет проведение рентгенографии, которая позволит определить не только наличие перелома, но и его точную локализацию, позволяющую подобрать подходящее лечение.
Если рентгенография дает сомнительные и размазанные данные, врачи могут принять решение назначить дополнительное исследование с помощью компьютерной томографии. Она уже даст точную картину происходящему, определит не только наличие поврежденных костей, но еще и сосудов, мягких тканей и даже нервных окончаний. Только точные методы диагностики позволят определить наличие и характер травмы.
Причины
Наиболее часто встречаемыми факторами, вызывающими переломы руки, выступают следующие:
- падения с опорой на неудачно поставленную руку;
- удары с мощной силой, направленные на какую-либо часть руки;
- избыточное физическое давление на кость;
- чрезмерная нагрузка на больную руку (остеопороз, киста, опухоль кости или возрастные изменения).
К перелому пяточной кости могут привести следующие факторы:
- неудачное приземление или падение на ноги с высоты;
- компрессия пятки при дорожно-транспортном происшествии или производственных травмах;
- сильный удар тупым предметом;
- интенсивная и длительная нагрузка, приводящая к «усталостным» дефектам кости (например, у спортсменов, курсантов, недавно призванных солдат).
Наиболее частой причиной такой травмы является падение с высоты. При приземлении вся сила тяжести тела проецируется через кости голени и голеностопа на таранную кость, и она вклинивается в пяточную, раскалывая ее на несколько частей.
Тип перелома и характер смещения отломков в таких случаях определяется разными факторами: высотой падения, массой тела и положением стоп при соприкосновении с поверхностью.
Лечение перелома руки
Лечение перелома руки проводится комплексно, для начала врач делает осмотр повреждения, пальпацию, выявляя наличие смещения костей. Далее происходит нужное вправление кости, после чего врач фиксирует конечность с помощью специальной повязки, бандажа или гипса. Гипс – это самое правильное и частое лечение данной проблемы. Многих интересует вопрос, сколько носят гипс при переломе руки? Все показатели времени индивидуальные, время зависит от сложности течения перелома, а также наличия осложнений. Минимальная продолжительность хождения в гипсе составляет 3 недели, но иногда длительность увеличивается до 4-5 недель.
Часто травмированию поддаются именно пальцы верхних конечностей, поэтому уместно знать, сколько носить гипс при переломе пальца руки. Минимальная продолжительность составляет 20 дней, далее течение заживления зависит от мер и средств, которые будут использованы в процессе лечения. Перелом руки со смещением имеет более сложный характер, поэтому, сколько носить гипс в данной ситуации, еще зависит от наличия или отсутствия поврежденных тканей и сосудов. В большинстве случаев хождение в гипсе увеличивается до 4 недель.
Далее врач назначает необходимые обезболивающие средства, которые включают в себя следующие препараты:
- Препараты с хондропротекторами – Глюкозамин+Хондроитин;
- Обезболивающие средства – Седальгин НЕО;
- Антибиотики – индивидуально;
- Болеутоляющие, противоотечные и противовоспалительные – Ибупрофен, Афида, Нурофен;
- Медикаменты с кальцием для быстрого срастания костей – Кальция Глюконат, Кальцемин;
- Иммуностимуляторы – Пирогенал, Тималин;
Помимо этих средств, при сломанной руке назначаются еще и средства для наружного применения, но они используются после снятия гипса:
- Гепариновая мазь;
- Траумель С;
- Троксевазин.
Они наносятся на травмированный участок после заживления, ускоряют процессы восстановления нарушенных функций, а также устраняют любые дискомфортные ощущения при движении. Препараты имеют нежную консистенцию, они быстро впитываются в кожу, активизируют кровообращение, производят разогревающий эффект.
То, сколько заживает рука после перелома, зависит не только от степени и характера травмы, но еще и от правильно подобранных методов лечения.
Уход за сломанной рукой дома
У вас могут появляться боль и отек в течение 1 или 2 недель. Чтобы их уменьшить:
- Используйте лед на травмированную область вашей руки. Чтобы избежать повреждения кожи от льда перед тем, как его использовать, накройте пакет льдом чистой тканью.
- Держите руку приподнятой по отношению к положению сердца.
Для уменьшения боли вы можете принимать ибупрофен, напроксен, аспирин или ацетаминофен. Эти обезболивающие препараты вы можете приобрести без рецепта.
Если у вас есть болезни сердца, гипертония, болезни почек, язва желудка или внутреннее кровотечение обсудите с вашим врачом использования этих препаратов. Не принимайте их больше, чем указано в дозировке на флаконе или в рецепте у врача.
Не давайте аспирин детям.
Следуйте рекомендациям об уходе за своей шиной, которую предоставил вам ваш врач.
Ваш врач сообщит вам, когда вы сможете:
- Начинайте больше двигать пальцами.
- Убрать шину, чтобы принять душ или ванну.
- Ликвидировать свою шину совсем и использовать только руку.
Держите вашу шину или гипс сухими. Например, когда вы принимаете душ, заверните шину или гипс в пластиковый пакет.
Вероятно, у вас будет медицинское обследование через 1-3 недели после травмы. После серьезных переломов вам может потребоваться физическая терапия.
Вы можете вернуться к работе или занятиям спортом примерно через 6-8 недель после перелома. Ваш врач или терапевт сообщит вам, когда необходим осмотр.
Когда прийти к врачу
Обратитесь к своему врачу, если у вас:
- Тяжесть и боль в конечностях.
- Появились покалывание или онемения.
- Рана стала красной, опухшей или появились открытые болячки.
- Трудности со сгибанием и разгибанием конечности после того, как ваша шина или гипс сняли.
Позвоните своему врачу, если ваш гипс (шина) разваливается или оказывает давление на вашу кожу.
Восстановление после перелома руки
Разработка руки после перелома играет важную роль в процессе восстановления всех нарушенных функций в период ее частичного обездвижения. Также от правильно подобранных восстановительных процедур зависит, сколько болит рука после перелома. Если использовать все нужные мероприятия, можно значительно сократить продолжительность боли, улучшить состояние больного, восстановить все нужные функции для активной жизни.
Разработка руки после перелома включает в себя множество мероприятий, а именно:
- Массаж после перелома руки;
- Интерференционные токи;
- Ультрафиолетовое облучение;
- Магнитотерапия;
- Ультразвук;
- Лазеротерапия;
- Электрофорез с новокаином.
Если болит рука в гипсе, помогут только обезболивающие средства для перорального приема, а если наблюдается дискомфорт после его снятия, стоит рассмотреть вышеперечисленные процедуры. То, как будет происходить разработка руки после перелома, решает врач индивидуально для каждого пациента. Здесь нужно учитывать много сопутствующих факторов, в частности, индивидуальную непереносимость того или иного препарата. Чаще всего с первых дней после снятия гипса с руки врач назначает щадящий массаж в области повреждения и на близлежащих участках для улучшения кровообращения. Это может быть, как самомассаж, так и массаж от профессионала, который знает все особенности течения данной травмы, и быстро подберет нужные приемы.
Восстановительные мероприятия зависят еще от того, сколько срастается рука. Если больной ходит в гипсе более месяца, он сталкивается с нарушениями функций и подвижности, именно поэтому в данном случае уместно рассмотреть вариант физической культуры. Она включает в себя выполнение различных упражнений поврежденной конечностью, которые заключаются в махах, сгибании, разгибании и других действиях. Главное правильно подобрать щадящую нагрузку на конечность, чтобы в первые дни после снятия иммобилизации не травмировать ее еще больше. Лечебную физкультуру также подбирает врач индивидуально для каждого пациента.
Скорость заживления переломов у детей
Лечение перелома у ребенка протекает на 30% быстрее, чем у взрослых. Обусловлено это высоким содержанием белка и оссеина в детском скелете. При этом надкостница толще и имеет хорошее кровоснабжение. У детей постоянно увеличивается скелет, и наличие зон роста еще больше ускоряет срастание костей. У детей от 6 до 12 лет при повреждении костной ткани наблюдается коррекция ее отломков без хирургического вмешательства, поэтому в большинстве случаях врачи обходятся лишь наложением гипса.
Как и у взрослых, для заживления травмы важен возраст ребенка и то, как близко с суставом находится перелом.
Чем меньше возраст, тем больше вероятность коррекции костных отломков организмом. Чем ближе повреждение к зоне роста, тем быстрее оно заживет. Но травмы со смещением заживают медленнее.
Самые частые переломы у детей:
- Полные. Кость в таких случаях разъединяется на несколько частей.
- Компрессионные переломы происходят по причине сильного сдавливания вдоль оси трубчатой кости. Заживление происходит за 15-25 дней.
- Перелом по типу «зеленой ветви». Происходит изгиб конечности, при этом образуются трещины и отломки. Возникает при чрезмерном давлении с силой, недостаточной для полного разрушения.
- Пластический изгиб. Появляется в коленных и локтевых суставах. Наблюдается частичное разрушение костной ткани без рубцов и трещин.
Осложнения и возможные последствия
Каждая травма дает те или иные последствия, если неправильно или несвоевременно начать лечение. При переломах руки также наблюдаются осложнения и последствия, о которых нужно знать:
- Развитие гнойного осложнения при попадании инфекции в открытую рану;
- Нарушение функционирования суставов после патологического развития травмы;
- Жирования эмболия;
- Неправильное сращение костных обломков;
- Нарушение функций после ношения гипса.
Некоторые переломы проходят вовсе бесследно, если соблюдать все рекомендации врача, обращать внимание на те или иные восстановительные мероприятия, принимать курс витаминов, кальция и минералов для лучшего сращения костей. Многое также зависит и от скорости обращения за медицинской помощью. Важно в первые минуты после получения травмы срочно вызвать скорую помощь или доставить больного в медицинское учреждение, в котором ему будет предоставлена полная необходимая помощь.
Поделитесь статьей в соц. сетях:
Реабилитация для помощи в возобновлении утраченных функций
Врач назначает комплекс реабилитационных мер, которые помогут ускорить срастание поврежденных конечностей. Подбор этих мер исключительно индивидуален и зависит от характера травмы. Среди наиболее распространенных реабилитационных мероприятий выделяют:
- физиопроцедуры;
- лечебную физическую культуру;
- массажи.
Выполнять физические упражнения можно начинать на третий день после накладывания гипса. Инертные движения активизируют гемодинамику, которая, в свою очередь, стимулирует формирование костяной мозоли. Физкультура ориентирована на устранение атрофии мускулов, направлена против трудной подвижности суставов. Уже после создания костяной мозоли, уроки становятся более интенсивными и ориентированы на возобновление функций рук и ног. Целесообразно возобновлять мелкую моторику, обучаясь рисованию или лепке из пластилина.
Имеется большое число методов массажа, и они избираются в связи с местом перелома, его типом, характером и уровнем сложности. Массирование необходимо осуществлять и уже после выписки из больницы. Больной может пройти обучение самомассажу и, приобретя руководство, осуществлять его самостоятельно.
Упражнения для быстрой реабилитации
Существует несколько упражнений при переломе руки для быстрого восстановления подвижности суставов, и все они связаны с лечебной физической культурой. Сначала применение ЛФК может приносить больному дискомфорт. Для того чтобы сократить его, рекомендовано окунать упражняемую руку в теплую воду. Водная сфера действует смягчающе. Она убирает избыточную напряженность с мышц, снимает боль. Емкость должна быть большого размера, чтобы кисть или рука свободно в ней помещалась. Воду нужно использовать только теплую, не ниже 36 градусов. Все движения в воде производят плавно и медленно.
Нужно вращать и сгибать кисть по часовой стрелке, а затем против нее. Делать около шести подходов. Быстро сжимать ладонь в кулак, держа руку под водой. Опустить кисть на дно емкости ладонью вниз и поочередно поднимать пальцы. Выполнять также около шести подходов. Данный спецкомплекс упражнений нужно выполнять раз в день. Аква-разминка травмированной руки, как правило, ведется на первоначальной стадии реабилитации– в первые одну-две недели после того, как больному сняли гипс.
Ортезы
Поддержка руки пострадавшего при переломе производится при помощи ортезов. Они выполнены из экологически чистых и удобных материалов: внутри из хлопкового трикотажа, а снаружи из полиэфирной ткани. Для удобства ношения пациентом существуют дополнительные ленты-застежки. Ортез значительно уменьшает болевые ощущения при переломе руки, а также обеспечивает стабилизацию поврежденной верхней конечности.
Ортезы бывают различных моделей и размеров. Самостоятельно покупать ортез не рекомендуется, его должен назначить больному врач-травматолог. Эти ортопедические изделия являются хорошей профилактикой развития плекситов и невритов верхних конечностей.
Анатомия лучевой кости
Основными составляющими верхней конечности человека являются плечевой пояс, плечо, предплечье, запястье, пясть и пальцы. Предплечье состоит из лучевой (трехгранной) и локтевой кости. Когда они вращаются, то функционируют всегда вместе, образуя единый сустав. Благодаря анатомическому расположению двух костей обеспечивается движение рукой, раскрывая кисть руки.
Чаще всего причиной перелома являются следующие факторы:
- сильная нагрузка на руки,
- наличие метаболизма костной ткани, которое приводит к хрупкости костей,
- аварийные ситуации на дорогах,
- травмы, образовавшиеся на производстве или в быту.
К основным симптомам следует отнести:
- болевой синдром в области предплечья,
- чувство неудобства,
- на поврежденном участке может наблюдаться онемение руки,
- затрудненное шевеление руки,
- болевое ощущение в лучезапястном суставе.
После подтверждения диагноза специалист накладывает гипсовую повязку и фиксирует костные фрагменты в нужном положении. Скорость выздоровления зависит от характера травмы и от того, какое лечение было назначено. Обычно кости срастаются через 1,5-2 месяца при отсутствии осложнений.
Факторы, влияющие на скорость сращения костей
Если повреждены мелкие кости, регенерация материи проходит существенно стремительнее, нежели при повреждении крупных костей. Также на процесс выздоровления влияет и ряд других факторов:
- Чем старше пациент, тем медленнее будут срастаться кости. У детей этот процесс проходит быстрее, чем у зрелых людей и стариков.
- Различные осложнения. Многочисленные болезни уменьшают реставрационные возможности костной материи.
- Сопровождающие факторы. Зараженные и расшибленные переломы обычно заживают длительнее, нежели обыкновенные.
- Характер перелома.
Среди немаловажных факторов нужно отметить и степень тяжести травмы, которых может быть несколько:
- Легкая.
- Средняя.
- Тяжелая.
Сроки восстановления для каждого случая определяются индивидуально, поскольку все вышеперечисленное влияет на этот процесс.
Например, сколько срастается перелом среднего пальца руки, напрямую зависит от того, закрытый или открытый у пациента перелом, со смещением или нет, и в целом от типа повреждения.
Бывают случаи, когда переломы срастаются медленнее, чем положено. Причин, почему не срастается перелом, довольно много, и большая их часть перечислена выше. Однако также стоит отметить, что травмы могут заживать долго из-за самолечения. В случае повреждения кости следует немедленно обратиться к врачу. Если одновременно несколько фаланг пальцев руки сломано, то это создает слишком большую нагрузку на организм и процесс заживления идет не так быстро.














